发热一天肺变白,医生警示勿当普通感冒
2025-11-13
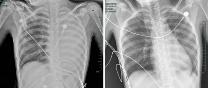
孩子感冒咳嗽看似平常,但12岁女孩笑笑(化名)的遭遇却令人胆战心惊。她仅仅发热1天,左肺就成了“白肺”,呼吸急促到无法平躺,血氧饱和度勉强维持在90%左右,情况十分危急!



本文仅代表作者观点,版权归原创者所有,如需转载请在文中注明来源及作者名字。
免责声明:本文系转载编辑文章,仅作分享之用。如分享内容、图片侵犯到您的版权或非授权发布,请及时与我们联系进行审核处理或删除,您可以发送材料至邮箱:service@tojoy.com




