每日刷牙仍有口臭?原来是这东西在捣乱......
医生在洗牙时,常碰到这样的患者,一边张嘴一边皱眉抱怨:“我每天都认真刷牙,怎么又长牙结石了?”
甚至有人不到半年就来洗牙,可医生还是无奈摇头:“牙结石又长出来了。”
这让人十分困惑:牙结石究竟是怎么形成的?是牙膏没选对,还是刷牙方式不对?而且,它很可能就是你口臭的根源。
别急,我们先来了解一下:牙结石到底是什么。


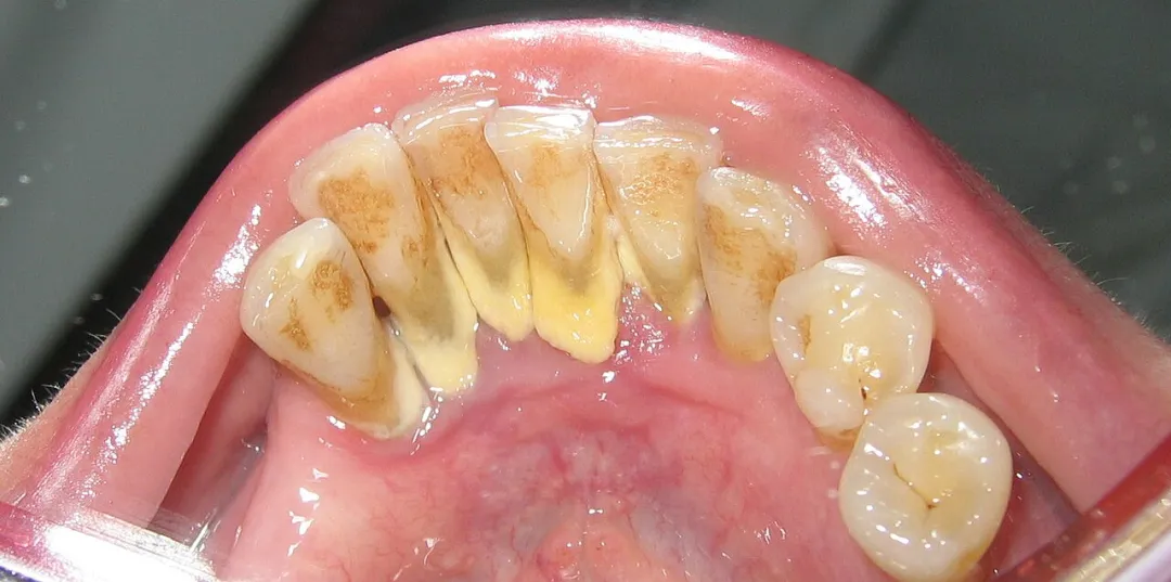
牙齿上的牙结石(牙根处黄色部分)
01牙结石是如何形成的?
日常用餐后,牙齿表面会残留软软的牙垢。
在显微镜下,牙垢是一层半透明、布满细菌的“生物膜”,紧密附着在牙齿表面,几乎包裹整个牙齿。
这就是牙菌斑,它是口腔细菌、食物残渣和唾液蛋白共同作用的结果,时刻都在悄然生长。
若牙菌斑未被彻底清除,就会越积越厚。同时,它会不断吸收唾液中的矿物质(尤其是钙、磷等元素),逐渐“石化”变硬。
严格来讲,这就是牙结石的雏形。刚开始形成时,它比较松散柔软,可通过认真刷牙、使用牙线清除。
但一旦完全钙化,就像给牙齿贴了层硬壳,普通牙刷难以将其去除。不过,牙结石也会脱落,当它不断增多,有些患者自称“牙齿碎了一块”,其实碎掉的就是牙结石,而掉落的只是一小部分。

02为什么天天刷牙,还是有牙结石?
刷牙能清除大部分牙菌斑,但并非万能。
问题在于,牙菌斑藏匿的位置多且隐蔽。
牙刷够不到
牙齿的牙缝、最后磨牙的远端(靠近喉咙口)、牙龈沟(牙齿与牙龈的交界处),都是牙菌斑容易藏身之处,即便认真刷牙,也难以完全清除。
所以,即便每天早晚刷牙,牙菌斑仍能在这些角落滋生。
刷牙刷不对
横着刷、用力过猛、刷牙时间短、忽略角度等,都可能导致关键区域清洁不到位。
若只刷牙齿外侧面,忽略内侧面,就如同只洗脸不洗脖子。
此外,边刷牙边玩手机是现代人的常见问题。有人拿着牙刷两分钟,实际刷牙时间可能不到一分钟。

口腔环境不同
确实,有些人多年不洗牙,牙结石也不多;而有些人不到半年,牙结石就大量堆积。这一方面与卫生习惯有关,另一方面与个人唾液成分有关。唾液中矿物质含量高、pH偏碱性的人,牙菌斑更易钙化。
这也解释了为何牙结石易出现在下门牙内侧、上后牙外侧,这些位置是唾液腺开口处,矿物质供应充足,是牙结石的“高发区”。
03牙结石除了难看,还能“制造口臭”
很多人认为口臭是肠胃问题,其实多数人口臭源于口腔,常见于牙结石大量堆积的牙周炎患者。
牙结石表面粗糙、多孔,是细菌的“理想栖息地”。它会吸附食物残渣,使细菌聚集,细菌分解蛋白质,释放出有臭鸡蛋气味的硫化物,即“口臭”。
口臭只是牙结石的小危害,它还会刺激牙龈,导致牙龈发炎、出血,甚至引起牙齿松动、疼痛、牙缝变大等牙周炎症状。

04日常怎么预防牙结石?
预防牙结石,关键在于阻止牙菌斑“石化”,定期阻断牙菌斑生长,清除卫生死角。
正确的刷牙方式
建议采用“巴氏刷牙法”,牙刷与牙齿呈45°角,轻压在牙龈沟处,短距离水平颤动。牙齿和牙龈交接的龈沟是牙结石易堆积处,早期牙结石常从此处开始。同时,要注意清洁牙齿内、外侧面和咬合面。
此外,刷牙时间要足够,每次至少2分钟。
使用牙线或牙缝刷
对很多人来说,使用牙线比刷牙更重要。牙刷难以清洁牙缝,而牙线能有效清除牙缝间的菌斑。
别担心使用牙线会使牙缝变大,相反,保持牙缝清洁,减少牙结石,可防止牙龈萎缩。

定期洗牙
已形成的牙结石,牙膏和牙刷无法清除,需通过超声波洁治(洗牙)去除。而且,牙结石会持续形成,即使刚洗过牙,也会缓慢再生。
一般建议1 - 2年洗一次牙,有牙周炎的患者,可半年做一次口腔检查。若医生发现牙结石大量堆积,需提前洗牙,并可能进行其他牙周基础治疗。
刚刚!黄渤、周冬雨点亮金鸡!
闽人智慧|光影奔腾120年:从鹭江影事到“金鸡”唱响
【理响中国·一线探新】闽海潮涌映丝路——丝绸之路国际电影节十二载回眸与福建实践综述
厦门最新公布,临时调整!
原标题:《每天都刷牙,为啥还是会口臭?都是这个小东西在作祟......》
本文仅代表作者观点,版权归原创者所有,如需转载请在文中注明来源及作者名字。
免责声明:本文系转载编辑文章,仅作分享之用。如分享内容、图片侵犯到您的版权或非授权发布,请及时与我们联系进行审核处理或删除,您可以发送材料至邮箱:service@tojoy.com




