女士整理衣柜竟致肺“发霉”!快点检查,你家也可能有。→
"全身不适,发烫,体温最高达40℃,还咳嗽…"
近日,浙江杭州一名女子整理衣柜后出现身体不适。去医院后发现是肺发霉引起的。这是怎么回事?
高烧40℃,肺部长满菌斑。
女性在整理衣柜后生病
随着天气越来越暖和,浙江杭州的沈女士开始了休息的“季节性工程”。没想到,收拾好衣柜后,她生病了,于是沈女士立即去了医院。
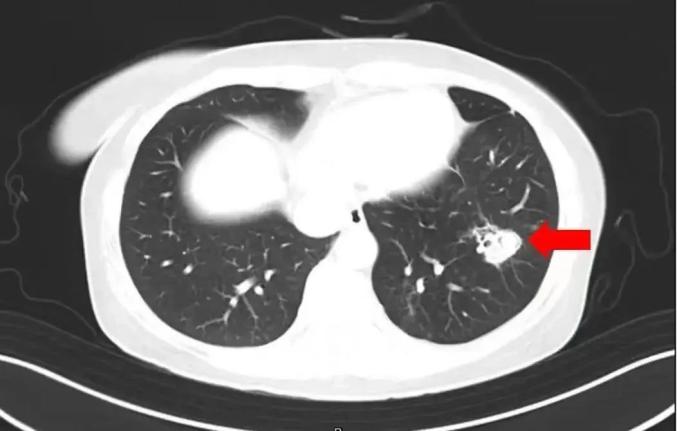
医生通过咨询了解到,沈女士在整理衣柜时发现里面有霉斑,于是清理了衣柜,但清洗时没有戴口罩。为了进一步诊断病情,医生对沈女士进行了纤维支气管镜检查和肺泡灌洗液病原体检查,发现气道内壁有大量白色菌斑,经检查确认为曲霉。
经过抗菌和综合支持治疗,沈女士已经康复出院。
如何改善肺部的曲霉菌?
不小心吸进怎么办?
曲霉菌是一种真菌,被世界卫生组织列为一级致癌物质,其毒性是砒霜的66倍。它广泛存在于自然界中,主要以枯萎植物、动物粪便和尸体为营养来源。
当免疫系统受损或免疫力较弱时,曲霉可进入肺部,导致肺曲霉。
肺曲霉病临床上分为侵入性肺曲霉病、肺曲霉球、气管支气管曲霉病等,常见症状包括:
持续高热不退,服用常规退热药难见效;
干咳病情加重,伴有胸痛、呼吸不畅;
痰呈深褐色或痰中带血丝;
鼻窦炎症状如鼻塞、流脓、面部疼痛等,严重者可引起呼吸衰竭,甚至危及生命。
在不小心吸入曲霉菌之后,突然出现干咳、呼吸困难等症状,应如下:
首先离开曲霉、粉尘较多的环境;
改变座位并向前倾斜身体,此时膈肌会向下移动,呼吸道打开,肺容积增大;
用腹式呼吸,尽量缓解紧张情绪;
有支气管哮喘病史的人应及时服用药物,并就医。
家中这些地方容易发霉。
如何做好防护工作?
霉菌感染与环境有一定的关系,在通风不良、湿冷的房间里,很容易滋生霉菌。
尤其是角落、窗台、浴室、厨房水池、厨具、餐具、调料、冰箱内部和密封条、洗衣机内部、空调、长时间不用的书籍和地毯等。,很容易滋生霉菌。
所以,如何预防肺曲霉?
■ 及时做好居家清洁工作
客厅:尽量打开房间对角线方向至少两扇窗户进行通风;或者使用空调除湿功能降低室内湿度;定期晾晒床上用品,勤清洗,及时处理发霉物品。
厨房:可以经常打开厨房排气扇通风。
浴室:浴室里最容易滋生霉菌,应该避免在这里晾晒衣物;每天清洗后可以使用专用的除霉喷雾。
布料:布沙发等家具也容易滋生霉菌,应定期清理沙发罩,并暴露在阳光下。
■ 清洁时戴口罩
清除霉菌时要戴口罩、手套,防止吸入引起疾病。还可以根据情况佩戴护目镜,防止洗涤剂溅到眼睛里,造成眼睛损伤。
■ 别囤积太多食物
如果发现食物发霉,要及时扔掉,少吃隔夜食物。
■ 提高自身免疫力
多做运动,保持充足的睡眠,补充高质量的蛋白质,提高免疫力。
温馨提醒:在家里整理或清理时,请采取必要的保护措施。如果之后出现反复咳嗽、哮喘等症状,经常治疗效果不佳,要尽快去医院确定是否感染肺曲霉,以免延误病情,造成严重后果。
原标题:“女人整理衣柜竟导致肺部“发霉”!快点检查,你家可能也有。→》
阅读原文
本文仅代表作者观点,版权归原创者所有,如需转载请在文中注明来源及作者名字。
免责声明:本文系转载编辑文章,仅作分享之用。如分享内容、图片侵犯到您的版权或非授权发布,请及时与我们联系进行审核处理或删除,您可以发送材料至邮箱:service@tojoy.com




