从小就有!以为是“胎记”,一查结果就是肿瘤!
刚出生或多个月大的婴儿
身体上有褐色斑片
就像牛奶和咖啡混合的颜色一样。
许多父母对此感到困惑
是不是“胎记”?
要当心了
或许这不是一个普通的“胎记”
而“牛奶咖啡斑”
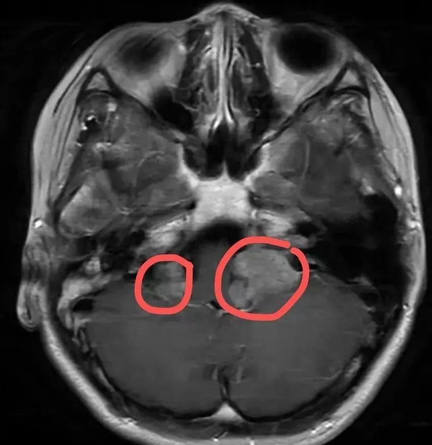
浙江大学第二医院最近接诊了一位患者小叶。她从小就有一些棕色的斑点,这似乎是一个无害的“胎记”,但她的听力开始逐渐下降:起初,她只是听不到细微的声音,然后右耳变得更严重,甚至很难辨别人的声音。
当时小叶即将报名参加高考,听力损伤让她特别焦虑。经过检查,发现这不是一个简单的耳朵问题。小叶两侧颅内的前庭神经正在被肿瘤“侵袭”,这是她听力损伤的罪魁祸首。小叶患有一种罕见的遗传病——神经纤维瘤病。

01
神经纤维瘤病是什么?
神经纤维瘤病(Neurofibromatosis,简称NF),是一种遗传性全身神经外胚叶异常疾病。
神经纤维瘤主要有三种类型:
1型神经纤维瘤病(NF1型)
2型神经纤维瘤病(NF2型)
施万细胞瘤病

牛奶咖啡斑的形成主要与NF1基因变异有关。90%以上的NF1患者会在生命的早期(通常在出生后或婴儿期)出现牛奶咖啡斑。
每种类型都与不同基因的变异有关。如果父母一方患有神经纤维瘤,50%的概率是遗传给孩子的。除了大多数家庭遗传病例外,少数人可以看到散发病例。

相关专家介绍,从患病率来看,神经纤维瘤是一种罕见的疾病,目前还没有治愈的方法。
大多数神经纤维瘤都是良性肿瘤。虽然恶化的概率不高,但会导致面部大斑点,不仅影响外观和自主神经,还会导致全身各组织器官肿瘤、脊柱畸形、瘫痪等一系列疾病。
而且一旦发现瘤体在短时间内迅速增大,疼痛加重,就应考虑恶化的可能性。
02
手术或药物都可以使用
改善神经纤维瘤
大夫解释说,尽管目前神经纤维瘤病还不能治愈。但是大多数病人可以通过手术或药物治疗来显著提高生活质量。
对于引起疾病的神经纤维瘤,手术可以有效缓解压迫症状,改善功能;对于早期发现的听神经瘤,及时干预可能会保留一些听力功能,减少对面神经的压迫,降低面瘫的风险。
综合评价后,医生认为小叶右侧的听神经瘤目前比较稳定,可以选择定期随访观察。但左侧听神经瘤体积较大,对周围组织造成明显压迫,可引起颅内高压等症状,严重影响生活质量。
最终,医生对小叶进行了微创左侧听神经瘤切除术,成功切除肿瘤。手术后恢复顺利,小叶顺利完成高考。

尽管神经纤维瘤是一种遗传性疾病,但它并非无法应对。
对于3岁以上特定类型的丛状I型神经纤维瘤患儿,新型靶向药物司美替尼可以通过抑制突变基因显著抑制神经纤维瘤细胞的生长和扩散。
03
长牛奶咖啡斑
就是神经纤维瘤吗?
回答是:不一定!
虽然牛奶咖啡斑是NF1型的主要诊断依据之一,90%以上的NF1型患者会在生命的早期(通常是出生后或婴儿期)出现牛奶咖啡斑,但并不意味着所有NF1型患者都会出现牛奶咖啡斑,也不意味着一定是NF1型。

比如
这种情况也有可能发生
到达牛奶咖啡斑
↓↓↓
正常群体:
普通人可以观察到单一或少量的牛奶咖啡斑。
其它遗传性疾病:
例如Legius综合征,McCune-Albright综合征、II型神经纤维瘤、Noonan综合征和结构性错配修复缺陷综合征等。
环境和其他原因:
在某些情况下,皮肤摩擦或局部炎症会导致色素沉着,类似于牛奶咖啡斑。
04
上海市第六医院医生提醒:
假如出现这些症状
对神经纤维瘤病要警惕
如果有1到3个斑点,一般只是一种胎记,除了美观之外,对身体健康没有负面影响。这种斑点一般形状不规则,边缘呈锯齿状,激光手术效果更好。

如果超过6个斑点,至少0.5厘米或者数量一直在增加,建议进行基因测试,以确定这些斑点的潜在原因。
如果孩子在幼儿期已经有20或30个咖啡斑,咖啡斑颜色较深,边界清晰规则,随着年龄的增长周围也会出现小斑;或者父母一方有神经纤维瘤病,孩子出生后有多个咖啡斑,伴有窦汇区神经纤维瘤,基本可以诊断为神经纤维瘤病。如果咖啡斑面积较大,也可以在神经纤维瘤病中看到,也需要注意。
由于不同个体临床表现差异较大,神经纤维瘤难以诊断,其治疗、随访、管理等诸多方面存在挑战。如果你身上有这个斑点,请尽快去医院,及时干预,尽早治疗。
原题:“从小就有!以为是“胎记”,一查结果就是肿瘤!”
本文仅代表作者观点,版权归原创者所有,如需转载请在文中注明来源及作者名字。
免责声明:本文系转载编辑文章,仅作分享之用。如分享内容、图片侵犯到您的版权或非授权发布,请及时与我们联系进行审核处理或删除,您可以发送材料至邮箱:service@tojoy.com





