女性颈椎骨折导致全身瘫痪!还在ICU抢救!这项活动最近很受欢迎,紧急提醒
暑假期间,许多人热衷于水上娱乐。水上公园、潜水游泳、漂流回溪简直就是夏天快乐的源泉,但是玩的时候一定要注意安全!
最近,50岁的刘女士(化名)和她的亲戚朋友一起去浙江杭州富阳漂流。没想到,坐皮划艇漂流时,突然发生了意外,因为漂流时遇到了高低差,刘女士的颈椎在晃动过程中受到了冲击和挤压。
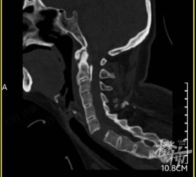
当时,刘女士患有颈部疼痛和四肢无力,然后发现她不能全身活动。随后,她被紧急送往附近的医院治疗。经颈椎影像检查,发现刘女士完全断开了6-7个颈椎,颈椎骨折造成颈髓损伤,导致全身瘫痪。
(发现刘女士的颈椎完全断裂)
上周二,刘女士做了手术。据浙江二骨科脊柱外科医生介绍,刘女士患有强直性脊柱炎,这是一种慢性疾病,主要涉及脊柱,表现为脊柱和背部疼痛和僵硬。
“强直性脊柱炎会削弱脊柱的调节效果。如果在漂流过程中经常发生旋转、急停、加速坠落等操作,很容易对人体造成伤害。严重者可引起骨折、颈椎损伤、瘫痪等。”
目前,刘女士仍在ICU治疗。原本骨折断开的颈椎已经手术复位,但脊髓神经的损伤是不可逆的,很难说下一步能否恢复运动功能。
“漂流是一项危险的运动,不适合所有群体,如强直性脊柱炎、严重颈椎病、骨质疏松症等。,而且不适合参加漂流活动。”
事故多次发生
在水上游玩需要警惕
近几年来,漂流嬉水已经成为许多游客抵御夏季高温的秘密武器,但危险却屡见不鲜。
2023年7月中旬,湖北武汉的文女士在漂流后的两天里,伴有间歇性头晕等症状。之后,她意识不清,瘫倒在地。经诊断,文女性患有特殊类型的“中风”-基底动脉尖综合征。
2022年8月14日,宁波张女士前往“新昌县小黄山漂流景区”。在漂流的过程中,张女士发现自己的整个身体都没有意识到,只有大脑保持清醒,“感觉很冷”。经医生诊断,张女士出现了失温症状。
2024年7月14日,贵州某景区漂流艇在通过急流点时翻车,导致两名游客落水。幸运的是,救生员迅速救出了他们。
医生提醒:
这些要点必须引起重视
第一,皮艇在水中仍有侧翻的危险,虽然漂流的河流一般不会太深,但是游客必须穿上救生衣。
漂流的地方通常是顺流而下,河流不是很宽敞,两边有很多岩石。这时,人们很容易受伤。一些漂流景点为游客配备了头盔。建议参与漂流,尤其是刺激性强、落差大的漂流。戴头盔和护膝保护。
其次,在水流的影响下,皮艇摇晃不稳定,踩下不像陆地那么稳定。一旦起床,很容易摔倒,膝盖也很容易扭伤。漂流时一定要坐稳,握住手柄不要放手。如果你不得不改变你的姿势,你的重心会稍微低一点,所以你不能完全站起来。
此外,目前大多数漂流景点都限制了儿童的身高或年龄。每个人都应该遵守规则。漂流仍然有一定的刺激性。太小的孩子可能会害怕和移动,这会造成安全隐患。如果带孩子去玩漂流,一定要提前和孩子沟通,给他们看一些漂流视频。如果孩子不愿意,不要坚持,以免发生危险。
原标题:“女性颈椎骨折导致全身瘫痪!还在ICU抢救!这项活动最近很受欢迎,紧急提醒”
阅读原文
本文仅代表作者观点,版权归原创者所有,如需转载请在文中注明来源及作者名字。
免责声明:本文系转载编辑文章,仅作分享之用。如分享内容、图片侵犯到您的版权或非授权发布,请及时与我们联系进行审核处理或删除,您可以发送材料至邮箱:service@tojoy.com




