高安柿子大量上市,食用需谨慎!
眼下正值柿子大量上市的时节,许多人的餐桌上都少不了柿子的身影。
不少喜爱吃柿子的人开启了狂吃模式。然而,过量食用柿子很可能会对身体健康产生不良影响。



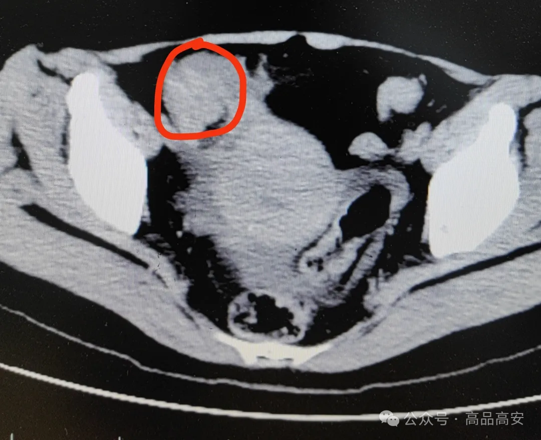
据杭州日报报道,患者冯女士(化名)在家一口气连吃了3只柿子,晚餐又吃了2只大闸蟹。当晚,冯女士突然肚子剧痛,疼得全身冒冷汗,还不停呕吐。忍了两天后,她实在受不了便去了医院。
医生高度怀疑冯女士患上了绞窄性肠梗阻。最终手术从她肠子里切出一堆“石头”,也就是“柿石症”,最大的直径达4公分!

原来,柿子中含有较多鞣酸和果胶,若与虾、蟹、鱼、牛奶等高蛋白食物一同食用,由于蛋白与鞣酸相遇,容易发生反应产生沉淀物——鞣酸蛋白。当胃里胃酸较多时,鞣酸蛋白和食物中的果胶、纤维素等会把食物残渣粘合在一起,在胃内形成胃柿石,导致胃部不适。
除了不与高蛋白食物同食,食用柿子还需遵循以下原则:
↓↓↓
尽量选熟透的柿子
不要和特定食物混吃
不空腹吃
医生表示,食用柿子时尽量选择熟透的,不要空腹吃,一次别吃太多,去皮吃一般问题不大。味道越涩的柿子,鞣酸含量越高,发涩的柿子建议别吃。
空腹吃柿子极易形成结石性团块,引发柿石症,出现腹痛、腹胀、恶心、食欲下降等症状,严重时甚至会导致胃穿孔和出血。
柿子不宜与含果胶、鞣酸较多和酸性水果,如黑枣、酸枣、山楂、橘子、猕猴桃等一起吃,也不宜和醋同食,否则易出现胀气、结石问题。
吃柿子、山楂等季节限定食物时,要避免与鱼、虾、蟹、肉类、牛奶、鸡蛋等高蛋白食物同时吃。两者在胃酸作用下更容易凝固成块形成结石。尤其是老人小孩、消化功能不好或有胃肠道疾病及相关手术史的人群,最好不要食用。
贫血和糖尿病患者需慎食柿子。因为柿子含鞣酸,易与铁质结合,妨碍人体对食物中铁质的吸收,所以贫血患者应少吃。而且柿子含糖量较高,多为单糖和双糖,如葡萄糖、蔗糖、果糖等,容易引起血糖升高,糖尿病患者不建议吃。
医生建议,如果吃了柿子、山楂后感觉胃不舒服或肚子痛,可以喝些苏打水或吃些碳酸氢钠片。较小的胃结石,连续服用数天至数周后会逐渐缩小直至消失,若症状持续不缓解,建议及时就医。
此外,医生提醒,即便健康人群也不要贪吃,每天吃1 - 2个即可。
你喜欢吃柿子吗?一天大概吃多少个呢?一定要注意以上食用注意事项,别超量了!
转给家人们,提醒他们哦~
往/期/回/顾
公告!城区智慧停车场便民优惠
凌晨3点,4小时搜救,找到了!
紧急“ICU”!高安500岁古樟树重获新生
原标题:《高安正大量上市!提醒:不能混吃、不能空腹吃》
本文仅代表作者观点,版权归原创者所有,如需转载请在文中注明来源及作者名字。
免责声明:本文系转载编辑文章,仅作分享之用。如分享内容、图片侵犯到您的版权或非授权发布,请及时与我们联系进行审核处理或删除,您可以发送材料至邮箱:service@tojoy.com





