网红神药助力减重,却让她胃里长出“石头”
有一位女士,肚子疼、恶心呕吐的症状持续了一个月,她一直以为是近期压力太大所致。
直到医生在她的胃里发现了一大块“石头”,这才停掉了让她成功减重18千克的网红神药,并且给出医嘱:12小时内喝下3升无糖可乐。

医嘱——大量喝可乐 | giphy
肚子疼,最可能的两种病因
这位63岁的女性,肚子疼的位置集中在上腹部和右侧腹部,还蔓延到了背部,是烧灼样的疼痛,按压右侧腹部时疼痛会加剧。
近一个月来,她胃口不佳,时常感到恶心,还频繁呕吐。在去急诊看病之前,她自行服用了一些抑制胃酸分泌的药物,但没有效果。
过去一年,她的体重从93千克(身高1.7米,属于肥胖)降到了75千克,且最近一个月减重速度加快。而一年前,她开始使用司美格鲁肽,目的是控制2型糖尿病和体重。
除了这两个问题,她还患有多种疾病,如胃食管反流病、高血压、慢性肾脏病、慢性阻塞性肺疾病、腰背痛、焦虑和抑郁等,目前每天要吃16种药物。
医生经过逐一排查,将她腹痛、恶心呕吐的原因聚焦到了两种疾病上。一是消化性溃疡,因为患者近一周为缓解腰背痛吃了24片布洛芬;二是胃石,因为患者长期服用的药物中有两种会增加胃石形成的风险。
随后的胃镜检查揭开了谜底,医生在她的胃里发现了一大块胃石,确诊为胃石症。

胃镜检查中看到的胃石 | 参考文献[1]
胃里长结石,几率虽低但存在
大家都知道肾结石、胆囊结石,可胃里也会长出坚硬的结石吗?
所谓结石,是指空心器官里出现的不该有的硬团块。胃石(Gastric Bezoars),就是未被消化的物质在胃里凝集形成的团块。通常,胃石不如其他结石坚硬,但韧性较强。
胃石的形成,主要是因为物质难消化且难以排出。难消化的物质包括柿子、山楂、某些药物和毛发等异物;排不出则是因为胃肠功能不足,无法将胃内物质碾碎并推到肠道,原因可能与胃肠、糖尿病、自主神经病变或影响胃动力的药物(如三环类抗抑郁药,以及本患者使用的司美格鲁肽、缓解腰背痛的阿片类强效镇痛药)有关。
满足这些条件并形成胃石的情况并不常见,在所有做胃镜的患者中,发现胃石的几率低于0.5%。
胃石形成后,可能会导致腹痛、恶心及呕吐等症状,如果出现溃疡、出血、梗阻等并发症,还可能出现血便、呕血等情况。有时,胃石患者没有症状,是在胃镜检查时偶然发现的。



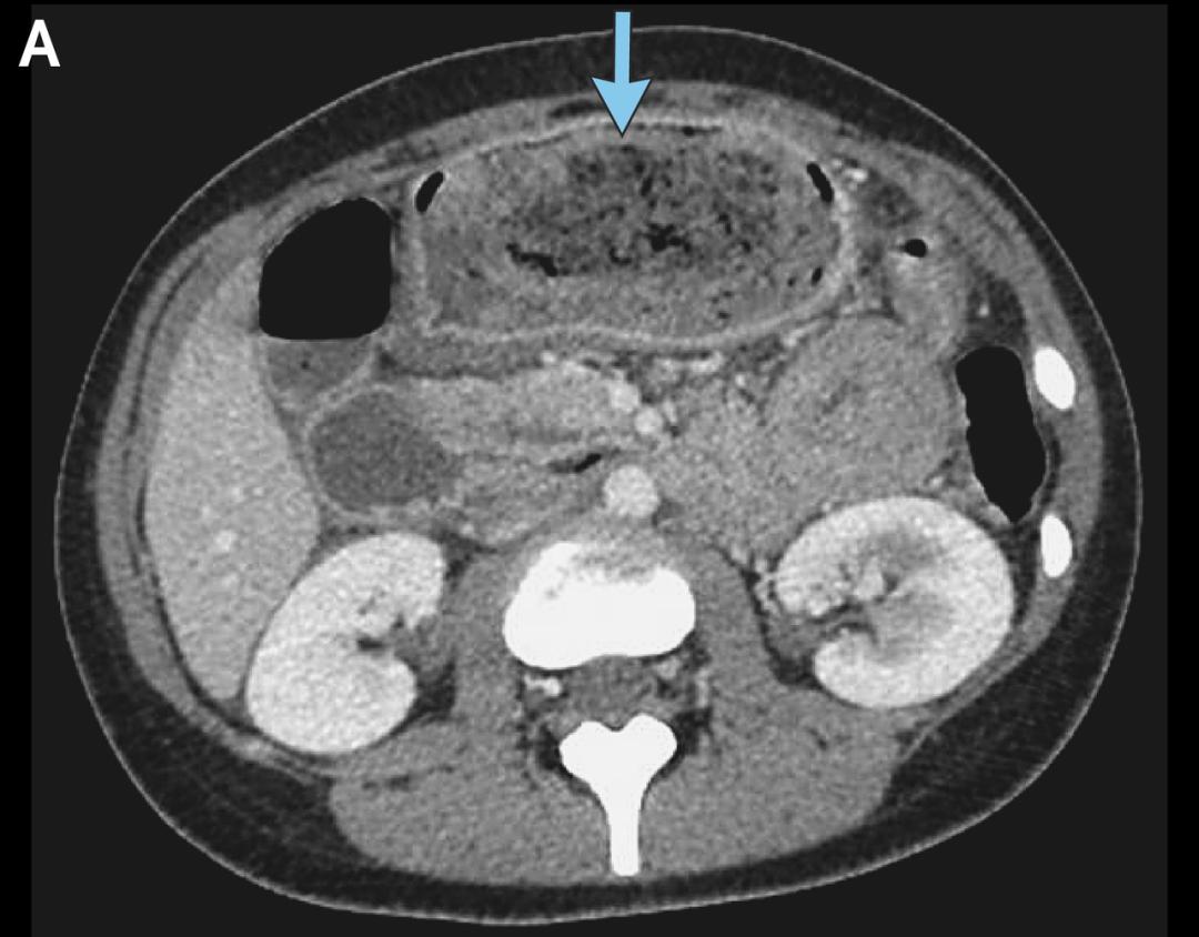
左滑查看更多图片:胃石示意图、手术中看到的毛发性胃石、CT检查中的胃石 | 参考文献[1]
喝下无糖可乐,胃石神奇消失
发现胃石后,医生决定先尝试用可乐溶解,要求患者在12小时内喝下3升。由于患者患有糖尿病,医生选择了无糖可乐。又因为患者不喜欢碳酸饮料,喝不下,医嘱改成了每天喝1.5升。
平时医生常劝大家少喝可乐,但在治疗胃石方面,喝可乐是一种性价比高、风险低、痛苦少的方法。可乐溶解胃石的机制,可能是可乐里碳酸和磷酸的酸化作用、碳酸氢钠的黏液溶解作用、二氧化碳以气泡形式释放时对结石的穿透作用。其他碳酸饮料也有溶解胃石的效果,但可乐是最常用的溶石饮料。
不过,可乐只能溶解食物形成的胃石,对毛发性胃石无效。而且,有时可乐溶石效果不佳,仍需通过胃镜或开放式手术清除胃石。还有一种风险是,胃石被溶解成小块排出时,可能堵塞肠道,造成肠梗阻。
幸运的是,这位患者喝到第二天,腹部突然有牵拉感,随后不适症状迅速减轻。复查胃镜时,胃石已经消失了。

胃石消失了 | 参考文献[1]
患者入院后,司美格鲁肽被停用,她的腰背痛继续依靠阿片类药物控制,直至出院。
出院3个月时,患者告知医生,她没有再出现腹部不适,食欲增强,体重从出院时的74公斤增加到84公斤,糖化血红蛋白由住院前的6.3%升高至6.6%。
网红药司美格鲁肽还能用吗?
这位患者使用的司美格鲁肽,曾因“减肥神药”的名号成为网红,药厂产能全开仍供不应求。然而,在有效治疗2型糖尿病和减轻体重的同时,这类药物也可能引发不良反应。
司美格鲁肽属于胰高血糖素样肽 -1(GLP - 1)受体激动剂,同属这类药物的还有利拉鲁肽和贝那鲁肽等。
正常人血糖偏高时,体内的GLP - 1释放增加,它能升高胰岛素、降低胰高血糖素,从而降低血糖。此外,GLP - 1还能延缓胃排空,减少大脑中的“饿”信号,降低食欲。
GLP - 1受体激动剂药物虽能帮助控制血糖和体重,但也可能引起不良反应:
最常见的不良反应包括恶心、腹泻、呕吐、消化不良、食欲下降和便秘,这些可以通过从低剂量开始用药并逐渐增加剂量来减轻。
不太常见的有胃排空延迟,可能导致胃石形成。
罕见的包括胰腺炎、胆囊疾病和肠梗阻。
另外,患者停用GLP - 1受体激动剂后,可能出现体重增加和血糖控制恶化的情况。
考虑到这些不良反应,“网红神药”是否值得使用呢?如果在医生指导下,用这类药物控制好血糖和体重,并显著降低了心脑血管疾病的风险,且未出现严重的药物不良反应,那自然是值得的。但如果为了减肥擅自使用,或者用药时出现严重问题,就不一定值得了。
任何药物的使用,都需要慎重权衡利弊。当一种药物成为网红时,其潜在的不良反应往往容易被忽视。
始终依靠专业医生评估获益和风险,了解用药注意事项,感到不适及时就医,才能让每一次用药更“值得”。
参考文献
[1]Crane MA, Economos NG, Vaidya A, Apovian CM, Rodriguez NJ. A Fizzy Fix. N Engl J Med. 2025 Sep 25;393(12):e20. doi: 10.1056/NEJMimc2502450. PMID: 40991904.
[2]胡珊, 胡晓. 植物性胃结石的治疗研究进展. 中华消化内镜杂志. 2025;42(5):411 - 414.
本文来自微信公众号 “果壳”(ID:Guokr42),作者:代天医,36氪经授权发布。
本文仅代表作者观点,版权归原创者所有,如需转载请在文中注明来源及作者名字。
免责声明:本文系转载编辑文章,仅作分享之用。如分享内容、图片侵犯到您的版权或非授权发布,请及时与我们联系进行审核处理或删除,您可以发送材料至邮箱:service@tojoy.com




