身体免疫紊乱引起的可怕后果,从烤油染发到白肺只有72小时。
06-24 09:55
原创 胡洋大夫 呼吸科胡洋医生
有时候我会想,生病是外界因素造成的,还是人体内部因素是外界造成的,有时候真的很难区分最后的敌我。
一个典型的案例是我多年前接受治疗的一个病人。当我来的时候,我仍然可以走路,但是当我住下来的时候,我不如一天。我很快上了呼吸机。病人是女性,长期种地,更不用说住院了。即使是小病也很少生。直到发病前半个月,他们都很好。如果他们坏了,他们会去当地的一家美发店烧油染发。如果她能把时间倒回来,估计她永远不会进那家美发店。
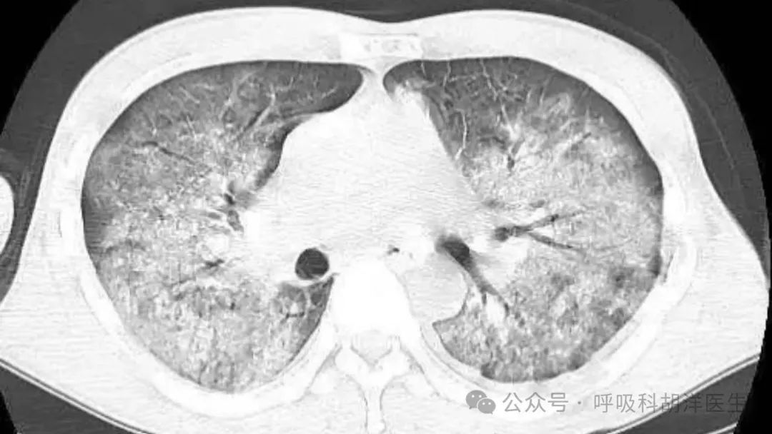
当时用的烤油膏应该是三无产品。烤油的时候头皮疼。烤油后,当时没有反应。回家后第三天,我开始肩膀和背部出现大块皮疹。我去当地医院打了一针。皮疹退去后不久,就出现了咳嗽症状。干咳是主要症状,逐渐加重,出现哮喘。白肺表现已经出现在当地的CT检查中。虽然用了很多好药,但是病情还是逐渐加重。虽然来找我的时候看上去病情比较轻微,但实际上是因为她身体很好,还能坚持走路,住下后很快就会呼吸衰竭。
最终气管插管也没救回来,家里人看着人不行,说要落叶归根不能在外面走,于是就把它运回家了。
原题:“从烤油染发到白肺只有72小时,人体免疫紊乱造成的可怕后果”
阅读原文
本文仅代表作者观点,版权归原创者所有,如需转载请在文中注明来源及作者名字。
免责声明:本文系转载编辑文章,仅作分享之用。如分享内容、图片侵犯到您的版权或非授权发布,请及时与我们联系进行审核处理或删除,您可以发送材料至邮箱:service@tojoy.com




