因为这种水果,医院连续接诊!大量上市…
△单击图片下订单
俗话说“五月枇杷满枝金”
近日
不管是在水果批发市场?
或者是各大商超
一个接一个地可以看到枇杷的身影。
这是一种金色多汁的水果
让每个人都欲罢不能
但是意想不到的风险
也悄然埋伏
浙江省海宁市人民医院连续接诊
由于枇杷核呛入气管而引起的急症病例
其中一例还突发心肺骤停
情况非常危急!
持续有人不小心吞下果核送医。
情况非常严重
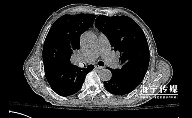
68 年龄较大的徐先生(化名)因慢性肺病反复住院,半个月前刚刚病情稳定出院。但两天前,他突然出现强烈的胸闷、喉咙喘息,CT 发现右边的检查主气管卡在一个直径约一个直径 1.5 类圆形异物厘米。
询问了解到,患者生病前一边吃枇杷一边谈笑风生,误将果核吞入气道。据医院呼吸科主任柳志浩介绍,“果核随着呼吸上下移动,随时可能完全堵塞气道,引起窒息,必须立即在镜下取出。”
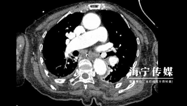
另一例 83 老年妇女病人的病情更加危险,由于帕金森病导致吞咽功能下降,她误吸枇杷核后突发心肺骤停。抢救后发现果核嵌入气道,最后通过高难度气管镜取出。柳志浩指出:“一旦气道误吸入异物,这类基础疾病患者的死亡率可以达到普通人群。 3 倍以上。"
据医生介绍,枇杷核表面光滑的特点给治疗带来了特殊挑战。常规的异物钳很难夹住,所以需要用圈套器配合网袋技术,在全身麻醉下进行精细操作。
医生提醒
现在正处在枇杷上市的季节,医生提醒大家,枇杷核光滑,食用时要特别注意避免呛咳。,当窒息进入气道时,会产生严重的不良后果,给老人和儿童带来窒息的危险。
如果不小心呛到了气道,应该尽早去医院治疗。若长时间不取出枇杷核,就会引起反复肺炎,还会引起肉芽肿,时间越长,取出难度越大。,有可能是异物与粘膜一起生长,甚至是大咯血等。
喉、气管、支气管内
误吸异物通称气道异物
也常被称为异物卡喉
这种疾病在儿童和老人中比较常见。
会导致呼吸不畅,窒息
甚至危及生命
这里提到的异物通常是指外源固态异物,其中常见的有坚果,果冻,豆类,骨骼,等等,罕见的有小型塑料玩具配件,扣子,笔帽等。
如有异物卡喉,应及时采取正确的急救措施。
如何正确处理异物卡喉?
真正有效的处理异物卡喉的方法是海姆立克急救法,它的原理是通过正确的冲击,排出堵塞在气道、喉咙里的异物。
值得注意的是,海姆立克急救法分为多个版本,针对成人、婴儿、孕妇等不同群体需要采用相应的操作方法。
适用病症
如果病人因异物(如食物、玩具)而完全堵塞气道,则表现为双手" V “形状手势抓住脖子,不能说话,嘴唇发痒,迅速停止呼吸,抽搐,昏迷。
如果病人能够发声或呼吸,就是气道梗阻不完全,不需要使用海姆立克急救法,应鼓励其自主干咳排出异物。
正确操作
针对成人
剪子:两根手指并拢,放在肚脐上方两个横指的位置。
石块:一只手握拳,放在“剪刀”上方。
布:另外一只手变成“布”包住拳头,迅速向内,向上冲击上腹部,直至异物排出。
针对肥胖者和孕妇
选择胸部冲击法。救援人员站在病人的背后,双臂从病人的腋窝下围住他的胸部,右手握拳放在病人的胸骨中间,另一只手握拳多次向后冲击,直至异物咳出。
针对 3 岁以下小孩
针对 3 海姆立克急救法在年龄以下儿童和成人中的动作各不相同。戳视频学习↓↓
自救法
在紧急情况下,如果周围没有人或周围的人不能采用海姆立克急救法,可采用自我腹部冲击法。
寻找借力物体:寻找身边的硬物,如桌角、椅背、沙发角等。
寻找腹部位置:同样使用剪刀,石头,布料的公式正确地找到受力位置。
冲击腹部位置:在物体向上、向内反复冲击腹部,直至异物吐出。
� � 提示� �
每天吃饭要细嚼慢咽
尽量避免说话、笑等等
容易转移注意力的动作
一旦出现
无法呼吸,无法发声,脸色发紫
等窒息病症
海姆立克急救法需要立即实施
并且打电话给专业的救护人员
来源:浙江新闻频道、大潮网、海宁传媒、人民网科普。
罗冰楚编辑 审批丨何骁
宠物粉末福利!场妹请您参观车展
下个星期端午节去哪儿玩?” 2025 粤港澳大湾区车展“来了!“第一场”实力宠粉送出 100 张门票,请参观深圳全年最大的车展!
点击下面免费领取↓限制福利名额有限
本文仅代表作者观点,版权归原创者所有,如需转载请在文中注明来源及作者名字。
免责声明:本文系转载编辑文章,仅作分享之用。如分享内容、图片侵犯到您的版权或非授权发布,请及时与我们联系进行审核处理或删除,您可以发送材料至邮箱:service@tojoy.com





