连续半个月这样做,35岁的他被诊断为“脑子坏了”!
白天困成狗
夜里嗨如狼
保护肝粉的威士忌
将党参浸泡在啤酒杯中
……
熬夜,喝酒
一边害怕看体检报告
你说的是不是你?
提醒大家
一定要注意一个度哈
这不
一位35岁的深圳设计师
熬夜 饮酒
大脑几乎“喝坏”
继续轰炸乙醇 熬夜
35岁男子的大脑濒临崩溃。
35岁的设计师小董平时很少喝酒,但是回到家乡喝了喜酒之后,一连半个月都沉浸在乙醇的世界里,一发不可收拾:
四月十五日:婚礼当晚鸡尾酒、白酒、啤酒三连击,凌晨三点睡觉,五点起床接亲,几乎没有闭上眼睛;
四月十六日:继续“赶场”喝洋酒、白酒,再等到凌晨;
四月十九日:见老同学,继续喝白酒啤酒;
4月23日:白酒 啤酒 KTV嗨到凌晨3点;
四月二十四日:喝酒后走路摇晃,不小心摔倒,第二天双手颤抖,仍然坚持喝酒;
四月二十九日:睡不着,用白酒和鸡尾酒“助眠”,结果一夜无眠…
这种饮酒方式,是个仙人也要倒下,更何况这段时间小董还总是等到凌晨,只睡两三个小时。
如果没有发生意外,就会发生意外。
小董以为自己的手在抖,走路只是因为喝醉了,但回到深圳后,他的意识模糊、发音不清、记忆力下降和视力模糊加剧。他的眼睛需要长时间盯着一个地方才能看清楚物体。
小董入院时手不停地抖动着。
那天晚上,小董的妻子“提着”他去了南科大医院的急诊科,医生的建议是住院仔细检查。
可以小董听到要住院,“连夜逃跑”回家。小董回家后又一夜未眠。
第二天是五一假期。小董原本打算和家人出去玩,结果开始幻听:听到有人敲门,耳朵里有噪音,还能听到熟悉的人说话...
二次送医
诊断为“脑子坏了”
再一次来到医院,医生一边听小董描述病情,眉梢越来越紧。
小董被紧急治疗住院,转到神经内科。
想起最近小董疯狂喝酒的生活,小董的妻子问:“医生,是酒精中毒吗?”
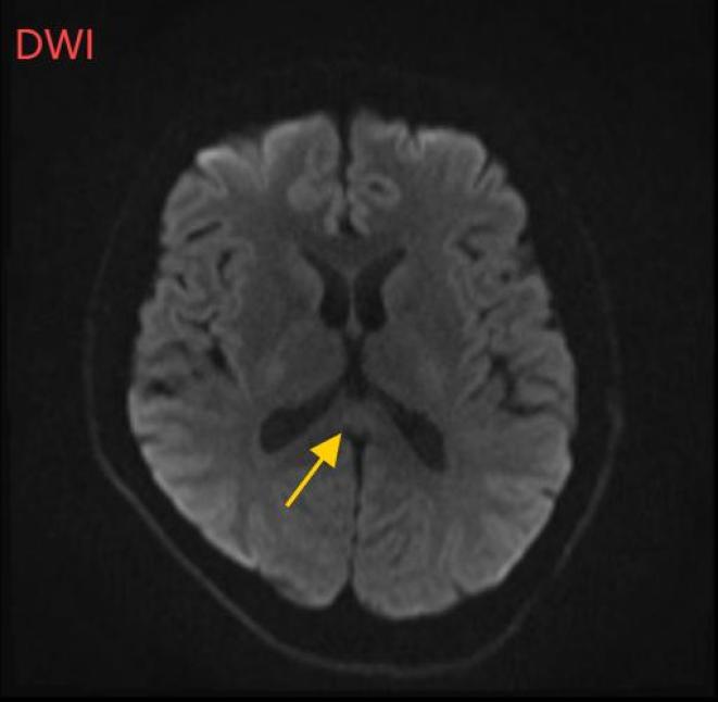
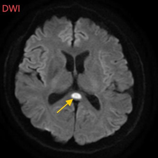
医生摇摇头。经过头部磁共振平扫、弥漫、增强图像等检查。,医生诊断,小董患有一种罕见的疾病:可逆性体压部综合征。
根据小董的影像数据,受压部位发生病变。
什么叫
「可逆性邈体压部综合征」?
如果把大脑比作一个城市,它就是一座连接左右脑的“跨海大桥”,而它的压力部分就是桥上的“核心枢纽”。当它因为乙醇、熬夜或感染而“肿胀”时,大脑信号就会“堵塞”,导致一系列“故障”。
“压力部分”病变:“压力部分”是大脑中的“视觉总监”。当眼睛看到的信息传递到大脑时,它负责将其反应整合成图像并呈现在脑海中。“压力部分”病变后,双眼视力会受到影响,就像电视信号接收不良,屏幕上出现雪花一样。
除“压部”外,还有其它部位的病变,所以小董才会出现幻听、手抖等症状。
各种手段齐下
强迫大脑“重启”
住院后,医生对小董进行了体检,发现他的意识模糊,手抖,幻听,视力不清,最近记忆力和计算能力下降。
小董入院时手不停地抖动着。
根据小董的病情结合自己的经验,神经内科主任白春艳迅速果断地对小董进行了紧急治疗:
B族维生素(尤其是B1)的补充剂量
抗病毒
改善精神症状和失眠
所以,入院后的小董除了吃饭、上厕所外,基本上都睡着了。
神经内科主任白春艳解释说:“为什么要在第一时间给病人补充大量的B族维生素呢?
体压部病变被广泛认为与细胞毒性水肿有关,而水肿的诱因通常是由于大量饮酒导致维生素B1摄入受阻,辅酶缺乏。
同时,由于长期熬夜和缺乏休息,小董的大脑不堪重负。通过镇静剂长时间入睡,他的大脑可以得到充分的休息,相当于强制关机。
采取多种措施的治疗使小董迅速康复:
- 住院4天后,小董的不适消失了,神志完全恢复,说话正常,没有幻觉,视力不清;
- 住院5天后,失去的记忆又回来了(入院时的小董失去了前几天的记忆)
“找回记忆”的小董才想起,4月28日,他出现了咳嗽、喉咙痛等感冒症状,但他只吃了一点感冒药。
由此可见,小董的症状也有可能是病毒感染所致。但是幸好及时进行了抗病毒,否则后果不堪设想。
经过一周的治疗,小董体压部病变明显改善。
现在,小董已经基本恢复,手不抖,走路不抖,记忆力和计算能力也恢复到了病前的水平。
医师紧急提醒:
这些信号从身体传出,快去看医生!
饮酒 熬夜=致命组合!
四大高危诱因:
⚠ 酒精中毒:酒精中毒扰乱脑代谢,直接“危害”神经
⚠ 熬夜 疲劳:身体透支,大脑的“保护膜”变得脆弱
⚠ 感染病毒(如感冒、流感):当免疫力低下时,乘虚而入。
⚠ 新陈代谢异常:低血糖、电解质紊乱“火上加油”
如果你在熬夜、喝酒后出现以下症状,一定要提高警惕:
⚠ 握手,站立不稳(像踩棉花)
⚠ 幻觉幻听(听到不存在的声音)
⚠ 视力模糊,记忆片段(想不起最近的事情)
⚠ 意识模糊,言语不清
大夫提醒,这种病“来得猛,去得快”,但关键是早期预防,早期干预。
熬夜加饮酒这两个凑在一起简直就是“暴击组合”:
☞ 肝脏、肾脏、胃连夜加班,早晚罢工抗议。
☞ 抵抗力下降,病毒细菌趁机偷袭,感冒发烧找上门来。
☞ 短期内可引起急性不适,长期内可增加慢性疾病的风险
记住喽
身体不是铁打的
不要透露太多
不要等到身体拉响警报才后悔。
原题:“连续半个月这样做,35岁的他被诊断为“脑子坏了”!
阅读原文
本文仅代表作者观点,版权归原创者所有,如需转载请在文中注明来源及作者名字。
免责声明:本文系转载编辑文章,仅作分享之用。如分享内容、图片侵犯到您的版权或非授权发布,请及时与我们联系进行审核处理或删除,您可以发送材料至邮箱:service@tojoy.com





