这类癌症一发现就是中后期!大夫:这五类人从40岁开始就要做检查!
36 年刘女士是个家庭主妇,平时她烟酒不沾,生活方式还算健康。
她总是感到胃痛,吃完饭肚子胀胀的,“好像有东西顶着”。
拖了 3 过了一个星期,她终于决定去医院看病,医生建议做无痛胃镜。
这是她第一次做胃镜检查,但结果就像晴天霹雳——刘女士患有胃印戒细胞癌,局部晚期伴有周围淋巴结转移。医生叹了口气,建议尽快手术。
相信很多人在怜悯痛惜的同时,也是第一次听说。 这种奇怪的病名,如“皮革胃”、“印戒细胞癌”。
这类胃癌到底有多危险,连医生都叹气?事实上,年轻人尤其要看一看。
消化道恶性肿瘤最早是用“皮革”来形容的, 1854 英国外科医生威廉? · 布林顿(William Brinton)提出的。
但是皮革不仅仅是胃的专属,还有“皮结肠”、“皮革直肠”等,简单地说就是像皮革一样僵硬,没有弹性。
皮胃,是进展期胃癌的一种类型。
这个阶段通常属于中、晚期,男性比女性更常见。
这类癌细胞生长不会像肿瘤一样膨胀,也不会形成深度溃烂,而是扩散到胃壁的各个层面。
(胃癌的 Bormann 分析,IV 型号就是皮革胃)
胃壁增厚,发硬,逐渐变得像皮革一样僵硬,仿佛练出了“金刚不坏之身”。
胃部粘膜上的“小褶皱”(皱壁)消失了,胃腔也缩小了,所以吃不下东西,经常腹胀。
到了晚期,大多数病人的胃已经基本失去了蠕动功能,就像一个皮口袋,因此也被称为“革囊胃”。
大多数皮革胃病理活检报告都写着“低分化癌”、“未分化癌”或“印戒细胞癌”,恶性程度很高。
简而言之,这是一种胃癌组织学分析,即根据“癌组织细胞的外貌”来确定分析。
印戒细胞癌是腺癌家族的弟弟,其它兄弟姐妹也包括乳头状、管状、粘液腺癌。
与腺癌家族并列的是腺鳞癌、鳞癌和未分化癌。
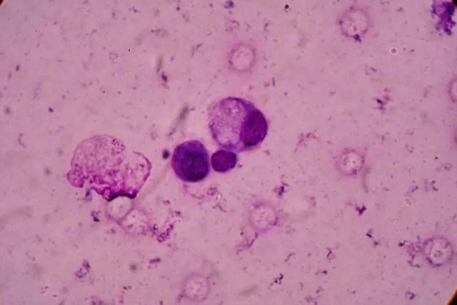
由于印戒细胞癌的细胞充满了粘液,细胞核被挤压到一边,看起来像一枚钻戒,这就是这个名字的原因。
(显微涂片印戒细胞癌)
印戒细胞癌是一种特殊的胃癌类型,恶性程度高,侵袭性强,进展迅速。
在进展期,印戒细胞癌经常出现明显的纤维化或硬化,发现较晚,整个胃就会变得像“皮革”。
所以,印戒细胞癌和“皮胃”就像是一对难兄,常常同时存在。
胃印戒细胞癌也喜欢年轻人,但更喜欢年轻女孩。
这种情况,与皮革胃男性多见不同。
或许与年轻女性雌激素代谢旺盛有关,姑娘们一定要多加注意!
“皮胃”虽然危险,但疾病却非常隐蔽,不易及早发现。
早些时候,大多数病人甚至没有明显的症状,也许只是觉得自己的胃口很小,吃得很快就饱了等等。
有些患者会出现上腹部不适,吃过饭后肚子饱胀,食欲不振,恶心,或者出现类似溃烂病的症状。
伴随着病情的发展,会出现上腹部疼痛加重、体重减轻、乏力等症状。
但遗憾的是,大部分人都是等到肚子疼了,身体瘦了才去看医生,此时发现已是中晚期,甚至已经发生淋巴结转移。
正因为如此,“皮革胃”初期病人很少。
是的,那是因为肿瘤的位置不同。
举例来说,疾病在贲门、胃底(全部在胃上)的人,可能会导致疾病吞咽症逐渐加重,胸骨后疼痛加重。;
患有幽门(胃下部)疾病的人会出现呕吐宿食(吃了几个小时才呕吐)等症状;
如果出现腹痛持续,锁骨淋巴结肿胀,腹水,腹部肿块等等,可能会提醒癌细胞扩散,这些都是中后期胃癌的表现。
“皮胃”的检查方法,基本上就是胃肠道造影,胃镜,超声,CT这几种。
虽然许多患者都是第一次做胃镜检查,但是有时候,胃镜和活检的结果也可能是阴性的,欺骗了医生的眼睛。
此时,结合钡餐检查(胃肠道 X 线条双重造影)、超声和 CT 其他检查有助于诊断和判断癌细胞是否已经转移。 [ 1 ] 。
遗憾的是,“皮革胃”通常是病程短,发展快,疗效快。而且结局也不太好。
大多数病人从去医院看病到死亡,生存时间一般不超过一年, 3 一个月到半年。
所以一旦确诊,就要尽早手术治疗,尽量做根治性切除手术。
部分胃或全胃被切除后,医生会将剩余的胃、肠、食道两侧连接起来,这就是所谓的“重建消化道”。
若原发病灶已转移,无法切除,也应尽可能进行姑息性手术,同时辅以化疗改善病人的症状,使肿瘤生长缓慢。
当然,医生会根据病人的具体情况进行系统的治疗。所有治疗的目的都是为了缓解疾病的发展,帮助患者提高生活质量,延长生存时间。
我们国家的胃癌发病率和死亡率都是世界上最高的,而且有年轻化的趋势,这与遗传、不良生活习惯有关。
如果有下列情况,可能是胃癌的高危人群。 [ 2 ] :
在高发地区的胃癌(例如西北、东南沿海城市)
父母亲、兄弟姐妹等一级亲属胃癌病史;
有幽门螺杆菌感染;
以前有慢性萎缩性胃炎、肥厚性胃炎、胃息肉、胃炎、恶性贫血等症状;
进食重口味(高盐饮食)、长时间食用腌制品,吃太少的水果和蔬菜,吸烟,严重饮酒等。
对高危人群,建议从 40 从年龄开始,定期做胃镜检查。
对普通低风险的人来说,也不能掉以轻心。
若出现上腹痛、反酸、烧心、恶心、吞咽障碍、贫血、黑便、不明原因消瘦等症状,应该尽早去做胃镜!
要想获得更多的生存时间,必须及时发现,及时就医。
这里还想提醒各位年轻人,不要以为你年轻就可以扛!
人体内的困境,都是在不知不觉中积累起来的。
正因为你年轻,更需要它。注重科学饮食,远离烟酒,规律生活,合理锻炼,定期体检。唯有如此,才能让癌症远离你!
审稿专家:陈锋
河南省煤炭总医院普外科副主任医师
参考文献
[ 1 ] 叶颖剑 , 谭诗云 , 蔡欧 . 超声波内镜指引下细针穿刺活检术对胃镜下病理阴性皮革胃病人的诊断价值 [ J ] . 中国胃肠外科杂志 ,2018,21 ( 5 ) :578-580.
[ 2 ] 中国早期胃癌筛查流程专家共识(议案) 2017 年,上海) [ J ] . 35(2)中华消化内镜杂志:77-88.
* 腾讯医典内容团队制作
相关阅读
希望在第一时间了解更多的健康内容,记得把它腾讯医典设为星标� � 哦,我们每天都在等着遇见你!
本文仅代表作者观点,版权归原创者所有,如需转载请在文中注明来源及作者名字。
免责声明:本文系转载编辑文章,仅作分享之用。如分享内容、图片侵犯到您的版权或非授权发布,请及时与我们联系进行审核处理或删除,您可以发送材料至邮箱:service@tojoy.com




