矫正牙齿,从儿童那里抓起
下面的文章来自上海疾控中心 ,作者上海疾控
上海疾控.
介绍疫苗接种、艾滋病咨询检查、肺结核治疗、健康检查、健康评估检查信息。传播传染病、慢性病、食品/营养/环境/职业/辐射卫生等健康知识,发布重大传染病疫情防控知识、重大健康惠民服务信息和工作动态。宣传健康生活常识,进行公众调查和反馈。


拥有一颗整齐美观的牙齿,不仅使孩子容易咀嚼各种食物,而且与孩子的发音是否正确有关,这是孩子在社交活动中自信地展示自己的重要外在因素。美国牙科矫形学会建议,儿童需要在7岁前对牙科矫形进行全面评估。

省流版
1. 儿童牙齿可能需要正畸治疗:乳牙更换过早或过晚、语言和咀嚼障碍、张口呼吸、吮吸手指或伸出舌头、咬合异常等。 。
2. 常用的牙齿矫正方法有:矫形牙套、固定牙套、隐形牙套、保持器等。可以到口腔医院或门诊咨询专家。
如果孩子有以下几种表现,
牙齿正畸也有可能需要
▶过早或过晚更换乳牙(先于4个月,或晚于12个月)
▶有言语,咀嚼障碍
▶张口呼吸
▶不良的嘴唇习惯,如吮吸手指、吐舌头等。
▶牙齿咬合异常

▶牙齿堆叠

▶频繁磨牙
▶上下颌突出或收缩过多。

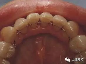
常用的牙齿矫正方法

矫
形
牙
套
▶主要由塑料和不锈钢丝制成
▶根据病人情况进行个性化设计
▶主要用于初期协调骨骼关系,消除不良嘴唇习惯,调节个别牙齿。
▶定期复查,由矫正医生根据情况进行调整。

固
定
牙
箍
▶多由金属或瓷器制成,用矫形弓丝连接在一起。
▶大部分粘合在牙齿表面或内部(固定在牙套里面的隐形效果很好哦)
▶按计划随访,每次由矫正医生调整。

隐
形
牙
箍
▶采用隐形塑料制成
▶个性化适合佩戴者的口腔
▶每套需要佩戴几周,然后根据牙齿的运动情况进行更换。
▶吃饭、刷牙、使用牙线时,可暂时取出并立即清洁牙套。

保
持
器
▶分为固定保持器和活动保持器
▶它的作用是在牙箍清除后保持矫正效果。
▶活动保持器可以由金属丝或隐性材料制成
▶固定器通常放置在上面或下面的牙齿后面。
“
您知道吗?一个人一生有两对牙齿:乳牙(共20颗)和恒牙(28-32颗)。
”
乳牙

乳牙长出
顺序
婴儿出生后4-10个月乳牙开始生长。只要在这个正常范围内,年轻的爸爸妈妈就不用担心。12个月后,未发芽的人会延迟乳牙的生长,这需要爸爸妈妈警惕!
乳牙在2.5岁左右出齐。乳牙的生长时间与遗传、内分泌、食物特性有很大不同。
长牙是一种正常的生理现象,有些婴儿在长牙时会出现低烧、唾液增多、流涎、睡眠不安、烦躁等症状。
咀嚼食材对宝宝的牙齿生长非常有益。如果宝宝牙齿生长异常,可能与钙或氟缺乏或甲状腺功能减退有关。
恒牙

换牙期的
儿童
6岁左右
第一颗恒牙(即第一颗恒牙,位于第二颗乳磨牙后,又称6岁牙);
6~12岁
同位置恒牙逐一更换乳牙,其中第1、2用前磨牙代替第一名、2乳磨牙,此时是混合牙列期;
12岁左右
生长第二恒磨牙;
约18岁之后
生长第三恒磨牙(也就是人们常说的智齿)。

自然,终身不长智齿的人也比比皆是。
以往推荐
看看宝山生物医药产业发展新的“生”力量
让每一个孩子都有一次科学的探究经验!这就是宝山区…
宝山万达有市场,周末不见不散!宝山制造消费品市场“享受消费,汇选宝山”第二次活动来了~
原题:“矫正牙齿,从儿童开始”
本文仅代表作者观点,版权归原创者所有,如需转载请在文中注明来源及作者名字。
免责声明:本文系转载编辑文章,仅作分享之用。如分享内容、图片侵犯到您的版权或非授权发布,请及时与我们联系进行审核处理或删除,您可以发送材料至邮箱:service@tojoy.com




