男士肺部洗出18瓶“牛奶”!许多人都有这个习惯…
天气转凉
身边有咳咳的小伙伴
又多了起来
许多人认为挺一挺的,熬一熬就过去了。
不管怎样,吃点止咳糖桨或药水。
一般情况下不会引起太多的关注。
但是如果干咳长期难以治愈
有可能是身体在报警
01
长期咳嗽不止,竟是得了这种病
今年宁波人毛先生(化名) 56 年纪大了,自己做点小生意。我最大的爱好是打麻将和抽烟。我是一个彻头彻尾的“老烟枪”,烟龄超过了。 30 2000年,每天需要两包烟草。一年前,一次活动后,他感到胸闷和不耐烦。他认为他太累了,不能工作。他特意在家休息了一会儿。然而,活动结束后,气短的程度一天比一天差。爬楼梯走平路,会觉得气喘吁吁。
天气转凉后,只咳嗽一点的毛先生发现,无论怎么喝止咳药水,都停不下来干咳。相反,他咳嗽得越多,就越严重。他睡觉的时候会把自己吵醒,还会像“牛奶”一样咳出奶白色的浓痰。
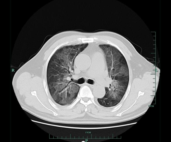
患者的肺影像
肺部是在当地医院进行的 CT 发现毛先生的双肺大规模变白。当地医院进行抗感染、消炎等对症治疗后,他的病情并没有明显改善。当地专家建议,他要抓紧浙江大学第一医院的早期诊断,在预防肺病方面有丰富的经验。
毛先生咨询了浙江大学第一医院呼吸内科副主任医师王杰的专家门诊。经过仔细鉴定,专家认为他患有一种罕见的肺部疾病——肺泡蛋白沉积,俗称“牛奶肺”。事实上,人体每天都会产生肺泡蛋白。当这些肺泡蛋白因某些原因无法排出和代谢时,身体就会缺氧,最终发展成呼吸衰竭,危及患者生命。他被治疗,住院,进一步诊断和治疗。
通过支气管镜检查,专家在毛先生的肺泡灌洗液中找到了明确肺泡蛋白沉积症的重要标志。—— PAS 和 dPAS 确诊为阳性蛋白球样物质。
“罪魁祸首”找到了。我该怎么看病?对于像毛先生这样肺泡蛋白沉积严重的患者,最好的治疗方法就是和他的肺一起倒入大量无菌生理盐水,通过清洗洗出肺泡中的肺泡蛋白。经过对毛先生情况的综合评价,王杰副主任医师带领团队在全身麻醉下为他进行“大空间肺泡灌洗”,并使用 1 万mL生理盐水给他的肺部“洗澡”。
肺部灌洗中
整个手术过程顺利,历时近 3 一小时,共倒入生理盐水。 随着灌洗手术的进行,10000ml, 我看到白色浑浊的“牛奶”样液体慢慢从气管流出,逐渐变清。这个“洗肺”竟然被洗掉了。 18 瓶奶白“牛奶”样液态。
部分白色“牛奶”样液体状态
术后第二天,毛先生可以下床活动,气喘明显缓解,“呼吸明显放松多了,走路也不像以前那么累了”。
02
在这些前提下,肺部需要“洗澡”
肺泡蛋白沉积症是一种罕见的弥漫性肺间质疾病,发病率约为每百万人。 6.87 例子。这类患者在肺泡腔内堆积大量表面活性物质,随着病情的加重,进行性呼吸功能下降,引起干咳、咳痰、呼吸困难等症状。这种疾病多为继发性肺部感染,随着病情的进一步发展,容易诱发急性呼吸衰竭,严重影响生命健康。
目前,全肺灌洗治疗(“洗肺”)被称为治疗肺泡蛋白沉积症最有效的方法。然而,单纯的洗肺并不能一劳永逸地治疗毛先生的“牛奶肺”。在吸烟和肺部感染的情况下,肺泡蛋白沉积物的病情会再次加重。因此,专家建议患者在日常生活中戒烟,防止感染恶化。
也许有小伙伴问,那是不是吸烟、吸霾的肺都适合清洗?回答是否定的!
呼吸科副主任(主持工作)周建娅主任医生解释说,大空间全肺灌洗是一种专业的医疗技术,是一种治疗疾病的方法,而不是肺部保健项目。在什么情况下可以“洗肺”有严格的手术适应症?经过充分的术前评估,对医疗技术人员的资质和技术、医疗器械、技术操作和麻醉有很高的要求。不适合普通人,想洗就洗。越多越好。此外,香烟和雾霾中的许多有害物质不能与生理盐水混合,如香烟中的焦油。香烟中的有害物质对人体有持续深远的影响,最终导致肺部病理变化。所以,洗肺对香烟影响不大,最好的办法就是不吸烟。
本文仅代表作者观点,版权归原创者所有,如需转载请在文中注明来源及作者名字。
免责声明:本文系转载编辑文章,仅作分享之用。如分享内容、图片侵犯到您的版权或非授权发布,请及时与我们联系进行审核处理或删除,您可以发送材料至邮箱:service@tojoy.com




