国足垫底但只差第21分:被日本连杀有好有坏。 想要出线恐怕需要对手的帮助 中国男足 1-3 不敌日本,虽然输掉了比赛,但是对于国足的出线前景来说,还是有好有坏。 连续两场胜利后,国足终于摆脱垫底,进入前四,但这一轮败给日本,遭到连续杀戮,与印尼、沙特阿拉伯、巴林同积。 6 2024-11-22
宝马6款新车计划曝光!最早在明年投产,开发新的内燃机,期待吗? 日前,据海外媒体报道,宝马在匈牙利德布勒森生产了即将推出的产品。 Neue Klasse SUV 第一批“近量产”原型车,其量产车型计划将在 2025 年底,德布勒森工厂陆续开始投产。与此同时,宝马新 2024-11-22
这条城际铁路通向天津机场,迎来了重大进展! 天津北方网讯:来自中国铁路北京局集团公司的消息:11 月 20 早晨,与京滨城际铁路天津机场站相连的天津机场 1 号码隧道完成盾构机开挖任务,实现安全顺利贯通。,这是京滨市城际铁路二期工程贯通的第一条 2024-11-22
快手:老铁带货“渐熟”,以后该怎么走? 北京时间11月20日港股市场后,Aautorapper第三季度财务报告发布。由于公司之前与市场沟通充分,实际表现与预期基本一致,属于平稳落地,没有惊喜。 具体而言: 1. 直播电子商务的增长压力仍然来 2024-11-22
换驾照,有新的选择! 为方便市民更换驾驶证,方便市民更换驾驶证 望亭镇便民服务中心 24小时自助服务区 驾驶员自助体检机 正式“上岗” 拍照,体检,交费 完成一站式自助 机器造型大气方正,打开玻璃门进入内部区域,可以根据语 2024-11-22
丽水守护福利院儿童上学路:为25个孩子,开设公共汽车专线 “公交车又大又宽敞,我再也不用担心迟到了。”一大早,丽水市万地爱心儿童福利院的25名学生带着书包排队,高高兴兴地等着自己的公交车送他们上学。 丽水公交专线 近年来,市万地爱心儿童福利院在进一步做好“添 2024-11-22
测量血压上下手臂不同,以哪一种为准?记住这一原则 点亮星标 ,不要错过每一次推送 作者:郑州大学第二附属医院检验科副主任医师王艳 关于血压测量,有几个常见的问题,在这里给大家一个答案。 手臂一侧高于140毫米汞柱,另一侧低于140毫米汞柱,是高血压吗 2024-11-22
中午不吃东西是真的吗?研究表明:过了这段时间就不吃东西了,抗衰老,抗炎 原创 关注→ 健康时报 点亮星标 ,不要错过每一次推送 以前有句话叫“过午不吃,百病不生”。到底“过午不吃”是真的吗?有科学的道理吗? 最近,一项最新研究发现,“中午不吃东西”可能被理解为“下午5点以 2024-11-22
后期桂花香,秋后温柔绽放~ 当第一缕凉意悄然降临时,上海的秋天虽然迟到了! 如果季节是彩色的,春天是充满活力的绿色,夏天是广阔天空的蓝色,冬天是雾雪中看不见的白色。秋天,无疑充满了暖黄色。它体现在稻田里沉重的谷穗上,呈现在十字街 2024-11-22
空间快递到了!为什么要带“果蝇”上天? 11 月 15 天舟八号货运飞船在深夜成功发射。 北京时间 11 月 16 日 2 时 32 分,天舟八号货运飞船进入轨道后,状态设置顺利完成,与太空站天空和核心舱后端口成功对接。交会对接结束后,天舟 2024-11-22
为了方便有需要的乘客,上海轮渡推出了第一批“爱·渡”盒! 当你出去乘坐公共交通工具时,你有没有遇到过手机没电,没有零钱,交通卡很难乘坐的尴尬?近日,上海轮渡在杨浦滨江沿线的轮渡渡口推出“爱渡”盒,为爱心提供免费零钱乘坐服务,满足部分乘客的紧急需求,尤其是老年 2024-11-22
激光雷达预购23.98万起, 大5座中大型SUV800伏,即将上市。 11 月 15 天,红旗天工 08 出现在广州车展上,并开始预订,预订价格为 23.98 一万元起,新车打算在这里 12 月中上市。 新车持续红旗的家族设计风格,正面采用封闭式造型,红旗车型的标志性红 2024-11-22
面对元UP?一哥生产,轴距2.75米,华为动力加持,这款新车已经亮相! 多年来,中国一汽旗下的奔流品牌一直处于不温不火的状态。除了最畅销的车型, 10 万出头就可以买到 B 级车-奔流 B70 另外,应该是我们经常能在路上“打”到的奔流。 NAT 了。 刚刚开幕 2024 2024-11-22
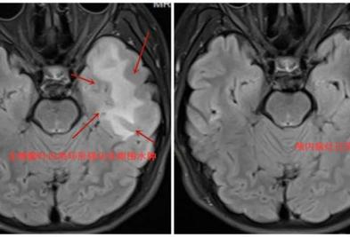
关注|14岁的少年突发癫痫,竟然和养猫有关?大夫提醒! 青少年突发癫痫,忧心忡忡。 脑科专家顺藤摸瓜抓出原因 原来养猫的清洁不到位 感染性寄生虫对大脑有害 产生异常放电 现在,经过一个月的驱虫治疗 患者的颅内疾病已经完全吸收 病人检查图像。通讯员周珊 摄 2024-11-22
私人拉装修垃圾赚外快?现场叫停!家庭装修垃圾如何正确处理? 近日,宝山区大场镇综合执法队在检查过程中,发现沪太路纬地路十字路口停着一辆装满白色编织袋的三轮车,非常“引人注目”。执法人员迅速上前调查,发现这辆三轮车正准备运输临街店面装修后产生的建筑垃圾。执法人员 2024-11-22
轴距2米88,搭配激光雷达高级智能驾驶,双色车身,简约内饰,滑背运动造型满分。 一起丰田在 2024 全新轿跑车在广州车展上发布 SUV--bZ3C,这辆车也出现在北京车展上。而且这次广州车展的亮相,算是量产状态。 bZ3C 选用轿跑 SUV 造型,整体线条流畅伸展,贯穿式灯带营 2024-11-22
樊振东孙颖莎王楚钦签名球拍!豫园社卫为何出现? 黄浦区豫园街道社区卫生服务中心收到一份特别的礼物,其中有樊振东、孙颖莎和王楚钦签署的三名巴黎奥运会乒乓球冠军。原来“老练”乒乓球项目由上海体育大学中国乒乓球学院、黄浦区体育局承办,在豫园街道社区卫生服 2024-11-22
哔哩哔哩终于盈利了,意外中没有意外。 上市 6 年,B 站终于等到顾客“长大”。 文|弋曈编|陈梅希 上市六年,B 该站首次实现单季度盈利,调整后净利润 2.4 亿元。 具体而言,第三季度 B 站营收 73.1 其中广告业务收入为亿元, 2024-11-22
当机器变成“画笔”时,艺术家是如何用精彩的笔画画的? 原创 上海黄浦 上海黄浦 一般来说,绘画是人们用笔画的,艺术家谢墨凛的“画笔”是他自己改造制作的三轴绘画机。日前,上海复星艺术中心展出了“机器下的画板”,展出了谢墨凛在过去十年里创作的近50部作品,展 2024-11-22
【晨读】不要开门!别开门!不要开门 江苏女性的暖心家园 “我们是中国电信的工作人员,”点击>> 免费安装座机反诈骗系统” 小心!小心!小心!小心! 遇到这样的情况 赶快关门!立即报警! 这个陷阱是诈骗者为你设置的。 安装完毕后 家里的固 2024-11-22