近16年来最糟糕的开始!苹果股价已经跌至关键防线,重磅财务报告能否扭转局面? 苹果今年股价开盘表现真的很差:截至周五收盘,苹果自2025年初以来已累计下跌11%,创下2008年以来最差的年度表现,也是“七大美股”中股价表现最差的一家。 本轮暴跌后,苹果距离核心技术支撑线只有一 2025-01-29
《龙警故事》20万养老金被警方成功追回。 “ 故事中的情感 藏在星月下面 一年365天,星星运转,四季交替。有些人在变化中遇到了新的生活,有些人在两点一线安然无恙,有些人在日升月落中勇敢地涌上心头。在这个世界上,每天都有很多故事发生,而警营就 2025-01-29
扶沟法院举行“福满中国年年” 送法暖人心”义写春联活动 千家万户,总是把新桃换成旧符号。为了弘扬中国传统文化,增进和帮助村民,1月22日春节前夕,扶沟法院积极组织书法协会书法家到柴岗乡岐岗村进行定点帮扶联系。 送法暖人心”义写春联文明实践活动。 在现场, 2025-01-29
新的“枫”景护蕾 | 扶沟法院家庭法官回访了困境儿童 点燃心灯,照亮幸福。1月22日,农历新年那天,扶沟法院家事法院院长范娜娜带领医院“爱心妈妈”志愿者团队的女警察走访了困难儿童,并将衣服和玩具送给了儿童,以实际行动传达了司法关怀,共同守护了家庭的美好 2025-01-29
扶沟法院思想政治课走进县图书馆 诗香相伴 保护“未”假期 随着春节的临近,扶沟法院家事法院院长范娜娜走进县图书馆,让学生们过上有价值的寒假生活,用“热爱祖国”。 关心世界的问题,给孩子们上了一堂别开生面的思政课。 通过PPT演示和 2025-01-29
九昌法院:春节前案件送上门 法律为民暖人心 "非常感谢法院同志,这么忙还专门送钱,我们一家今年可以过个好年。" 随着春节的临近,街道和小巷充满了喜庆的气息,到处都是灯光和颜色。在这个家庭团聚的节日前夕,停昌县人民法院执行局的警察仍然忙于司法为民 2025-01-29
向佐扇李小龙模仿者,本人回应!对方报警:向华强孩子不能无天吗? 生活就像一部电影。 欢迎点击上面蓝字关注『头号电影院懂小姐』 头号影院懂小姐(topcinema 原创性,禁止转载) 红色是非多,这次轮到“香港最强背景星二代”,向佐。 只是因为在电影《门前宝地》中摸 2025-01-29
2024年,全国医疗器械优先审核商品达到101件。 2014年,NMPA推出了《创新医疗器械专项审批程序(试行)》,经修订,于2018年正式发布实施《创新医疗器械专项审查程序》。具有核心技术发明专利、技术原理领先、技术实力国际领先、临床治疗价值显著的国 2025-01-29
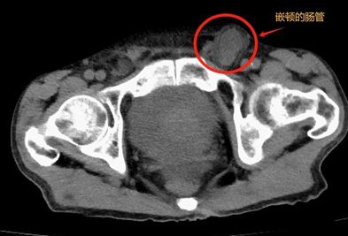
许多老年人突然嵌顿疝,普外科团队微创“修复”险为夷。 疝是一种不容忽视的疾病,常发生在早产儿、婴幼儿和体质虚弱的中老年人中。由于这些人的身体特点,他们相对更容易被疝“侵犯”。 嵌顿疝是疝气严重发展后的一种情况,危害很大。当腹腔器官疝进入时,不能自行复位, 2025-01-29
探秘《红观・健谈》:智慧交锋在医疗卫生领域与未来展望。 岁聿云暮一元复始时,健康界举办了一场特别的比赛。「擂台赛」,经过筛选和竞争,「2024年健康界十大优秀项目」在众多参赛项目中脱颖而出。由于其创新性、实用性和领先性,这些项目得到了许多医疗机构和医疗保 2025-01-29
汝城:好的“市”继续,“走,去市场!” “这个集市真是个宝啊,每次来都好像打开了一个装满惊喜的盒子,那可得多来几次,好好感受一下。” 汝城县中医医院精心准备、全力打造的中医文化市场,以其独特的魅力和非凡的价值,吸引着来自四面八方的人,其中亮 2025-01-29
深夜,美芯片股暴跌 周一美股开盘前,以英伟达和博通为首的芯片股普遍持续下跌。 除了芯片股之外,数据中心和相关公司也受到了冲击。特斯拉、亚马逊和Meta的股价下跌了5%。 DeepSeek回答了英伟达暴跌的原因。 深度追 2025-01-28
在DeepSeek热潮中,美股科技股面临着市值蒸发1亿美元的风险 中国基金报记者 泰勒 DeepSeek的火爆引起了华尔街的恐慌。美股科技股集体崩盘,市场预计将超过一万亿美元! 美股三大指数盘前集体暴跌,北京时间1月27日晚,纳斯达克指数下跌4%以上。 周一,中国 2025-01-28
货币市场再次发生巨大震荡,超过32万人暴仓。 一月二十七日,数字货币集体暴跌,BTC盘中一度跌破9.8万美元,24小时跌幅超过6%;其它货币下跌幅度较大,以太坊盘中一度跌破8%,跌破3100美元,Solana、狗币下跌超过11%。特朗普推出的个 2025-01-28
在中国第一机场易主的背后,上海的真正对手是谁? 最近,广州白云机场第四跑道正式开通,成为粤港澳大湾区唯一的四跑道机场。 就在去年,广州白云机场错过了中国最繁忙机场的荣誉,自1999年开业以来,上海浦东机场首次获得冠军。在此之前,中国第一机场长期被 2025-01-28
美股英伟达盘前跌幅超过11%,中国AI大模型DeepSeek“爆红” 一月二十七日晚,美股半导体股盘前持续下跌,截至发稿时,英伟达跌幅超过11%。 阿斯麦、ARM盘前均下跌近9%,美光科技下跌超过8%。 新闻方面,中国AI大模型DeepSeek的成功出圈,让业界对大规 2025-01-28
年货不好卖,年货商家如何跟上“00后”的步伐? 在《京都风俗志》中,年货市场的繁荣跃然纸上,“十五日之后,市中卖年货的人,星罗棋布。” 小时候,春节的记忆温暖而美好:一家人团聚,吃团圆饭,放鞭炮,贴春联,穿新衣服,过年发红包,囤年货,挂灯笼...每 2025-01-28