【健康警示】挤痘引发严重感染!20岁青年肺部出现十余空洞

江苏女性的暖心家园
点击>>
对于许多年轻人而言
脸上长痘是再平常不过的现象
随手挤痘几乎成了下意识的行为
你是否也常这样做呢?
前方重要提醒
请继续阅读
。
。
。
。
。
。

近日
浙江宁波大学附属第一医院
呼吸与危重症医学科接诊的一名患者
为所有人敲响了警钟——
这位20岁的大学生因随手挤了一颗痘痘
竟引发败血症与肺脓肿
住院治疗近两周才康复

仅仅挤了颗痘痘
肺部就被“啃”出十多个空洞
20岁的小林是大二学生,前段时间因备考熬夜,脸上冒出一颗黄豆大小的痘痘。“又红又肿看着难受,我想着挤掉能好得快些。”他回忆道,当时没洗手就对着镜子挤痘,挤出脓水后还觉得清爽了不少。
可几天后,痘痘仍在化脓,更糟的是小林开始发烧咳嗽咳痰,退烧药只能暂时降温,右下胸的疼痛感如同针扎,深呼吸或咳嗽时疼得他直冒冷汗。
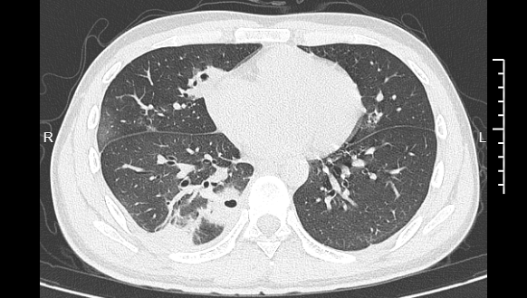
熬到第三天,小林体温升至39℃,赶紧就医。接诊的丁群力主任医师根据症状,立即安排CT检查。结果显示:小林肺部有十几个空洞,部分肺组织已坏死,属于典型的血源性肺脓肿。

▲小林的CT影像显示肺部存在多个空洞
进一步的细菌培养与基因检测揭示了真相:小林血液中检出金黄色葡萄球菌,这种细菌本就存在于人体皮肤表面。“‘元凶’就是那颗被挤的痘痘。”丁群力解释,“这颗痘痘长在脸部‘危险三角区’,挤痘的压力将细菌推入血管,引发败血症,随后细菌随血流侵入肺部,侵蚀肺组织。”
幸运的是小林年轻体健,对药物反应良好,经过12天抗生素治疗后顺利出院。

为何一颗痘痘会“危及”肺部?
很多人挤痘前并不知晓,脸部有一块“危险三角区”,即从鼻根到两侧口角构成的三角形区域。“人体血管大多有静脉瓣,像单向阀门般防止血液逆流,避免细菌随血液扩散。但‘危险三角区’的血管却没有这个阀门,是直接连通的。”医生介绍道。

这意味着挤压该区域痘痘时,会触发两个危险环节:其一,痘痘本身是毛囊发炎的结果,已存在局部感染,挤压会破坏皮肤屏障,使含大量细菌的脓液接触皮下毛细血管;其二,挤压的压力易将细菌强行推入血管。没有静脉瓣阻挡,细菌可随血液扩散,向上进入颅内引发脑膜炎、脑脓肿等凶险疾病,向下则随全身血液循环侵入肺、肝等器官,导致严重感染。
就像小林的情况,细菌侵入肺组织后会破坏肺细胞,引发局部炎症。随着炎症加重,肺组织逐渐坏死液化,最终形成空洞。
若未及时就医,风险会持续升级:轻则肺脓腔破裂引发脓胸、脓气胸,胸腔积满脓液;重则细菌扩散至肝、心等关键器官,甚至引发脓毒症休克危及生命。即便治愈,严重的肺组织坏死也可能留下后遗症,如肺功能下降影响正常呼吸。

▲丁群力医师正在查房
医生提醒市民:轻度痘痘无需特殊处理,皮肤有自我修复能力,过度挤压或涂抹刺激性产品反而会破坏皮肤屏障,增加感染风险。
尤其“危险三角区”的痘痘绝不能挤挑,以防细菌进入血液。
此外,不要频繁触摸痘痘,手上细菌较多,反复接触可能导致创口反复污染。
一旦出现疼痛加剧、周围皮肤大面积红肿,或伴随发热、乏力、胸痛、咳嗽、呼吸困难等症状,务必立即就医,切勿拖延。
编辑:周序
校对:林洋
审核:杨易霖
总编:陆艾涢
点击进入“江苏女性”网手机端

【早读】常喝茶与常喝咖啡的人,谁更显年轻?答案出人意料

【早读】西柚与85种药物“相克”!快告知相关朋友
原标题:《【早读】只是挤了颗痘痘,20岁的他肺被啃出十多个空洞》
本文仅代表作者观点,版权归原创者所有,如需转载请在文中注明来源及作者名字。
免责声明:本文系转载编辑文章,仅作分享之用。如分享内容、图片侵犯到您的版权或非授权发布,请及时与我们联系进行审核处理或删除,您可以发送材料至邮箱:service@tojoy.com




