拔鱼刺花85元,病人扭头向医生投诉。
近日,不少媒体报道,江西某三甲医院副主任医师分享了一份投诉。
一个病人在他的医院取鱼刺花 85 人民币,说贵了再投诉医院,病人觉得取鱼刺为什么要花那么多钱?取鱼刺这种小活是一件很方便的事,应该是免费的!
这个消息的实际来源已经不可测试了,但是医生因为收费被投诉,已经不是第一次了。
2018 年,据杭 · 州日报,一位杭州网友因卡鱼刺到医院取鱼刺,1人, 在几分钟的操作时间内,医生取出一个。 1 大约厘米的鱼刺,支付了门诊挂号费 10.5 元 治疗费 35 元共计 45.5 元,这位网友认为这是在乱扣费。
2023 2008年,据《人民日报》健康报道,四川某网友在社交平台上发文称,因鱼刺卡喉去医院急诊,从挂号到取出鱼刺。 10 分钟,收费 52 元。这位网友认为「这就是医院赚大钱的地方。」
这样的报道引起了网友们的热烈讨论,几十块钱拿一根鱼刺,真的贵吗?
40~1000 人民币,取鱼刺如何定价
在中国,国家和地方物价局联合制定了公立医院医疗服务的资费标准,一般以《国家医疗服务价格项目规定》为框架。严格来说,取鱼刺的操作属于「咽 / 取出喉咙里的异物」。
因此,中国拔鱼刺的主要力量是急诊耳鼻喉科医生,而口腔和消化科医生负责处理少数不走寻常路的鱼刺。如果你卡了鱼刺去急诊科,耳鼻喉科医生会是你第一次就诊的概率。
鱼刺最容易卡在嘴巴和喉咙里。常见的位置有扁桃体窝、舌头和会厌谷。喉咙狭窄的人容易卡在喉咙里的梨形窝区或声门。食道里的鱼刺比较少见。
孩子们是鱼刺卡喉的高发人群,尤其是 1~3 年幼的婴儿。由于处于渴望和好奇的时期,喉咙结构狭窄,吞咽功能不健全,儿童医院急诊耳鼻喉科经常可以看到半夜来取鱼刺的孩子。
北京某三甲儿童医院耳鼻喉科医生张洋(化名)指出,取鱼刺对他来说是家常便饭,「鱼刺或其它海鲜类异物几乎每天晚上都有,一夜多就会来。 10 一些卡鱼刺的孩子,这还不算其它异物。」
对于单纯取鱼刺,张洋所在的医院收费是多少? 60 人民币,无法取出或检查后未发现明显鱼刺残留的儿童不收费。
「很多孩子只是被卡住,随着吞咽进入消化道,但咽部的异物感不会很快消失。所以我们一般建议大家回家观察急诊没有发现鱼刺的孩子一晚上。如果第二天不舒服还是很明显的,那就回来做进一步的影像检查。」
张洋表示自己到目前为止,还没有遇到过因取异物收费而产生的投诉或纠纷,「明显的鱼刺几秒钟就取出来了。父母开心已经来不及了。没有人会抱怨。如果我们找不到鱼刺,我们就不收费了。还会有后续的随访流程。一般来说,父母可以理解。」张洋是这么说的。
作为北京的三甲医院,收费标准也不一样。陈辉(化名)所在的医院对鱼刺的收费有不同的分类,主要看获取过程中是否使用了纤维喉镜。
「平时张嘴就能看见扁桃体鱼刺,就收个间接喉镜取鱼刺。 60.5 元,若在纤维喉镜中使用一些较深的鱼刺,则加收。 150 喉镜块收费,对于特别深的需求全程镜下取出食管鱼刺,收费则在全程镜下取出, 1000 元左右。」
陈辉接受治疗的患者大多是中老年患者,大多数卡鱼刺患者属于肤浅类型。需要纤维喉镜的患者一夜之间不得超过 2 个。「偶尔会有使用镜子的病人对收费有疑问,但是经过解释后,大多数病人对收费表示理解。」
结合其它地区医生的反馈,一般表面鱼刺的收费大概在于 40~80 人民币左右,绝大多数卡了鱼刺的病人觉得几十块钱的收费也不算贵。
但是卡鱼刺带来的风险,与取鱼刺的价格并不成正比。一个小小的鱼刺,却可能带来巨大的风险。
小鱼刺,也可以难住大医生
在此之前,丁香园曾经报道过一个特殊的鱼刺病例,病人因为一根小鱼刺最终需要开胸。 开腹手术(点击查看以往内容:华西真实病例!拔一根鱼刺,这群中国医生居然发了。 SCI。)
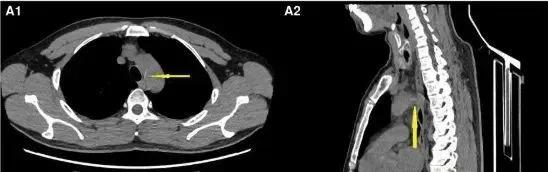
2023 年 4 月亮,病人因误吞鱼刺,自吞馒头后误以为鱼刺已经脱落;2 天后,由于胸骨后不适,就医当地医院,通过胸部 CT 意外发现鱼刺已经通过食道刺入胸部主动脉,形成致命的食道主动脉瘘。
胸部断层 CT 图像:箭头所指的白色条状物是鱼刺
那天晚上紧急开胸手术没有发现鱼刺,术后复查显示鱼刺移动到腹腔动脉,于是转诊到华西医院。5 天后,华西治疗期间突然腹痛。经过多学科会诊,鱼刺最终被锁定并游走至肝动脉。第二次开腹手术后,成功取出。 2cm 修复血管的鱼刺。
无独有偶,2024 年 12 月,一位 46 年龄较大的男人和朋友聚会时,因为边吃鱼边聊天误吞了大扇鱼刺,卡喉后试图吞下蔬菜、喝水等错误方法,当晚胸部剧痛加重。
拖延 1 天后,他去桐庐当地医院看病,CT 显示鱼刺已经穿过食道,导致食管穿孔,心包积血,然后转移到杭州市第一人民医院。此时,鱼刺的尖端已插入心脏表面(未深入心脏),当晚紧急开胸手术成功取出。 4×3cm 的鱼刺。
还有许多这样的案例是由一根小鱼刺引起的,但并非每个人都有好的结果。
陈辉还回忆了一个至今给他留下深刻印象的案例。一位老人在外院做了硬质食管镜下食管异物取出术,因为食管鱼刺。然而,在取出过程中,不规则的鱼刺对食管造成了二次损伤,但当时并没有被发现。短短一个星期,老年人就发展了椎间隙感染的程度。转到陈辉医院后,老年人出现了椎内感染的迹象,再次通过。 1 周,老人终于去世了。
虽然是从卡鱼刺到死亡, 1 大约一个月的时间。
「任何含有鱼刺的异物,只要到达食道,取出时都需要提到十二分的精神,尤其是不规则异物造成的食道损伤和取出过程中的二次损伤。」陈辉解释说。
与开胸开腹手术相比,在急诊科用枪状镊子取出鱼刺可能更幸运。相比之下,几十块钱的手术真的不贵。临床医生在取鱼刺时,不仅要简单定位鱼刺,还要避免取出的损坏。取出后,他们应该检查是否有其他残留物,而不是「顺手的事情」。
「这几十块钱的鱼刺收集,基本上不会落在我们身上,哪怕是一天。 10 个、20 一根鱼刺,也就是几百根,和一线城市的美甲价格差不多。我们只是希望我们在医学道路上的努力不仅要用手术时间和收费价格来衡量。」陈辉这么说。
这篇文章张洋、陈辉都是化名
本文仅代表作者观点,版权归原创者所有,如需转载请在文中注明来源及作者名字。
免责声明:本文系转载编辑文章,仅作分享之用。如分享内容、图片侵犯到您的版权或非授权发布,请及时与我们联系进行审核处理或删除,您可以发送材料至邮箱:service@tojoy.com





