连喝半个月他的“脑子喝坏了”!这种饮料最伤脑,夏天很多人都喜欢喝!
原创 关注→ 健康时报
点亮星标
,不要错过每一次推送
夏天,许多人喜欢喝一些冰镇饮料。除了各种甜饮料,夏天还有一种很多人喜欢喝的饮料,那就是冰镇啤酒、鸡尾酒等酒精饮料。
近日,一位35岁的年轻设计师董先生(化名)连续喝了半个月,手抖、走路摇晃、眼睛模糊、记忆力减退等情况无法停止。,然后经过医生检查确诊:他的“脑子坏了”!

鸡尾酒,健康时报任璇摄取。
连喝了半个月,他的“脑子坏了”
据《南方都市报》报道,深圳董先生是一名35岁的设计师,平时很少喝酒。自从4月中旬回老家喝了婚宴,他在酒精的世界里“浸泡”了半个月,甚至喝了半个月。
四月十五日:婚礼当天喝鸡尾酒、白酒、啤酒,凌晨三点睡觉,五点起床;
四月十六日:继续“赶场”喝洋酒、白酒,再等到凌晨;
四月十九日:看见老同学,继续喝白酒,啤酒;
4月23日:白酒 啤酒 KTV,一直嗨到凌晨3点;
四月二十四日:喝酒后走路摇晃,不小心摔倒,第二天双手颤抖,仍然坚持喝酒;
四月二十九日:睡不着,用白酒和鸡尾酒“助眠”,结果一夜无眠…
如果不出意外,就会出意外。董先生以为只是因为喝醉了才握手走路,但后来出现了意识模糊、发音不清、记忆力减退、视力模糊。他的眼睛需要长时间盯着一个地方看东西。最后幻听开始出现:听到有人敲门,耳朵里有噪音,还能听到熟悉的人说话...

董先生的手无法停止抖动。
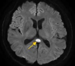
所以他立即到医院就诊,并被转移到神经内科。经一系列检查,医生诊断为:可逆性邈体压部综合征。
什么是“可逆性体压部综合征”?医生解释说,如果把大脑比作一个城市,体压部就是连接左右脑的“跨海大桥”,体压部就是桥上的“核心枢纽”。当它因为乙醇、熬夜或感染而“肿胀”时,大脑信号会“堵塞”,导致一系列“故障”。

根据董先生大脑的图像数据,受压部位发生病变。
因此,董先生会出现视力模糊、看不清东西等问题。除了“压力部分”之外,松子的其他部分也有病变,所以小董会出现幻听、手抖等症状。简单来说就是“脑子喝坏了”。①
发现1700例尸检报告:
这种饮料的确伤害了大脑!
在很多人的印象中,“喝酒伤肝”其实更伤脑!如果你身边有长期饮酒的人,你会发现很多人在饮酒到一定程度的时候会持续握手,这是乙醇对大脑神经系统的长期损害。
2025年,《神经病学》刊登的一项研究发现,对1781死者大脑进行尸检分析,饮酒真的很伤脑!每周喝8杯以上的人脑血管疾病的比例为44%,比不喝酒的人高133%。;比起那些从不喝酒的人,平均要早死13年。②

研究截图
这项研究究究竟有多少“一杯酒”?这项研究定义的“一杯酒”含有14克酒精,相当于:
· 500mL啤酒
· 150mL葡萄酒
· 45mL烈酒(白酒、威士忌)
酒精饮料如何伤害大脑?研究表明,乙醇会导致大脑透明小动脉硬化,进而导致小血管变窄、变厚、变硬,使血液难以流动,进而随着时间的推移损伤大脑,并以大脑损伤区(病变)的形式出现。
研究还发现,tau蛋白缠结(与阿尔茨海默病相关的生物标志物)的概率高于41%和31%(与阿尔茨海默病相关的生物标志物)。;与从不饮酒的人相比,严重饮酒的人平均大脑重量轻4.45克/厘米。
所以,夏天许多人喜欢喝冰镇啤酒,每天喝500mL啤酒很容易,但是也许已经悄悄地伤害了你的大脑!

任璇健康时报 摄
不能健康饮酒
出现这四种疼痛,一定要戒酒。
长期以来,很多人认为适量饮酒有益健康,少喝红酒通血管,改善情绪,帮助睡眠等。事实上,从目前已知的研究和世界卫生组织的意见来看,结论是一致的:不会有对健康没有影响的“安全”饮酒,任何饮酒都会对健康产生不利影响,所以最安全的饮酒量为0。
对于长期饮酒的人来说,尽量尽快避免饮酒。2023年,江苏省扬州市第一人民医院消化内科副主任医师支杰华在人民日报健康号上发表文章,提醒身体这四个位置有疼痛,可能是避酒的“警示信号”。③
信号1:肝痛
肝脏作为代谢器官,最容易受到酒精的刺激。长期大量饮酒会引起肝痛、肝区不适、肝功能异常等症状。疼痛、闷痛或持续性钝痛是肝脏疼痛的常见表现。
信号二:胃痛
乙醇对胃粘膜有刺激作用,会导致胃酸分泌增加,进而引起胃病和胃炎。胃痛通常表现为上腹痛、胃灼热、恶心呕吐等症状。
信号三:心痛
乙醇摄入过多不仅会对肝脏造成损害,还会对心脏产生不良影响。长期酗酒的人可能会出现心痛的症状,这主要与乙醇会对心脏产生毒性作用,导致心率不均匀、心肌缺血等问题有关。心痛通常表现为胸骨绞痛、刺痛、胸闷、气短等症状。
信号四:肌肉关节疼痛
乙醇会导致体内水分流失和脱水,从而加重肌肉和关节的压力。饮酒者经常出现肌肉疼痛、关节炎和痛风,主要表现为肌肉疼痛、关节肿胀和疼痛。
更多精彩
优选
文章
本文综合自我:
①南方都市报2025-05-23“被诊断为“脑子坏了”!一场婚礼结束后,深圳35岁的男子疯狂地做这件事……”(谢萌)
②Justo AFO, Paradela R, Gomes Goncalves N, Ribeiro Paes V, Leite REP, Nitrini R, Pasqualucci CA, Ferriolli E, Grinberg LT, Suemoto CK. Association Between Alcohol Consumption, Cognitive Abilities, and Neuropathologic Changes: A Population-Based Autopsy Study. Neurology. 2025 May 13;104(9):e213555. doi: 10.1212/WNL.0000000000213555. Epub 2025 Apr 9. PMID: 40203226.
③2023-07-22人民日报健康号“消化内科支医”“爱喝酒的人如果有四处疼痛,该戒酒了”
原题:“连喝半个月他的“脑子喝坏了”!这种饮料最伤脑,夏天很多人都喜欢喝!”
本文仅代表作者观点,版权归原创者所有,如需转载请在文中注明来源及作者名字。
免责声明:本文系转载编辑文章,仅作分享之用。如分享内容、图片侵犯到您的版权或非授权发布,请及时与我们联系进行审核处理或删除,您可以发送材料至邮箱:service@tojoy.com





