脚跟疼痛,是什么情况?还是引起了“足底筋膜炎”?
早上一落地,脚后跟就疼了!像裂开一样;走了很久,脚后跟就像踩了一个图钉;打了一个球,第二天就走了,脚底疼!你有这样痛苦的记忆吗?
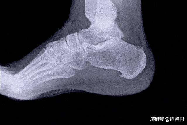
去医院找骨科一看,一拍就发现脚后跟居然长了“骨刺”!
不要慌张!这是一种天知地知,你知道我知道的疾病,很可能是我们骨科医生所说的“足底筋膜炎”。
足底筋膜炎是什么?是怎么引起的?
PART 01
足底筋膜炎是一种常见的足部疾病,又称跖腱膜炎,是一种常见的足底筋膜炎。
致病因素:脚底筋膜过度使用或损坏是导致脚底筋膜炎的常见原因,包括行走、跑步、长时间站立、穿不合适的鞋子等。高危人群包括长跑运动员、舞蹈演员和一些需要长时间站立和行走的职业群体。
主要症状:
慢性足底筋膜炎的突出症状是足跟前内侧局部剧烈疼痛。早上起床走路前,长时间走路、跑步或站立时,疼痛特别明显。适度按摩理疗或休息后,疼痛会减轻或消失(最典型)。;
脚底x片有骨刺(刺激外展神经引起疼痛);
脚弓塌陷,拇指背伸受限,拇指外翻。
发病机理:
足底筋膜损伤:
由于足底筋膜相对缺乏弹性,所以施加 90 kg 应力会对边缘位置造成轻微损伤。因此,任何施加在足底筋膜上的机械负荷都被认为是足底筋膜炎的危险因素,包括长期站立、肥胖、过度内翻或扁平足、踝背伸展受限、腓肠肌挛缩、跑步姿势不当等。
足部肌肉乏力
足部肌肉主要包括拇展肌、脚趾短屈肌、脚底方肌。脚底肌肉细腻复杂——保持足弓、脚趾活动、保持平衡。
脚底肌乏力的原因:
鞋保护过于精细,缺乏足弓感知;
缺少赤脚行走;
懒惰-缺乏行走,锻炼;
忙碌-长时间久坐,肌肉畏缩;
脚底肌肉的作用:
脚弓的微调和稳定;
协助稳定平衡;
减震储能;
保护足底筋膜;
控制脚趾活动;
人们很少锻炼脚底肌肉的原因如下:
不要当真(脚底肌肉看不见摸不着);
非常麻烦(必须赤脚);
难;
足弓塌陷:
肥胖;
足弓发育不良;
长时间站立或行走。
该怎么办?如何改善?
PART 02
治疗原则:以保守疗法为主,主要是恢复足底肌肉和筋膜的自助强度和韧性,提高自身适应能力!
1、锻炼足底肌肉和筋膜
弓背训练
分趾训练
脚趾弹琴训练
2、运动会引起足底肌肉
想想我们小时候玩过的游戏。...那时怎么会有现在这么好的鞋子,常常赤脚踩来踩去。
3、勤做拉申
4、注入类固醇或PRP
研究表明,在治疗慢性顽固性足底筋膜炎时,PRP 从理论上讲,注入比皮质醇更有效、更长久。 PRP 治疗足底筋膜炎可能比注射皮质激素更好。.
大量研究报告说,皮质激素治疗足底筋膜炎的短期疗效显著,但其潜在并发症包括筋膜破裂和足跟脂肪垫萎缩。因此,建议在注射皮质激素后,短期疾病没有明显改善,应停止重复使用。
5、冲击波
体外冲击波的机制是通过振动引起深层组织细微创伤,诱导局部新生血管形成,改善微循环,刺激机体组织重启,加速修复。
6、穿着专业的足弓支撑鞋底
专业的足弓脚底支撑鞋底,可以支撑脚弓,矫正脚弓塌陷,保持脚后跟稳定,使脚底受力均匀,缓解脚底筋膜的张力,有效缓解脚后跟疼痛。
练习还是不好?能手术治疗!
PART 03
外科适应症:
1、超过6个月的保守疗法无效。
2、顽固性疼痛,顽固性足底筋膜炎,严重影响生活质量。
3、关闭注射或PRP注射效果不佳。
4、脚底骨刺较大,足弓严重塌陷,伴有跟腱止点疼痛或骨性增长。
手术方法:微创关节镜手术
功效:磨去骨刺,清除脚底炎症,减少足底筋膜的压力
优点:减轻足跟疼痛,疗效肯定;术后结合康复治疗,继续巩固结果。
新华医院设立足踝门诊,为病人提供专业优质的服务。
作者:王晖副主任新华医院骨科医师
本文仅代表作者观点,版权归原创者所有,如需转载请在文中注明来源及作者名字。
免责声明:本文系转载编辑文章,仅作分享之用。如分享内容、图片侵犯到您的版权或非授权发布,请及时与我们联系进行审核处理或删除,您可以发送材料至邮箱:service@tojoy.com




