两天一夜和时间赛跑!中国摩洛哥医疗队沙温分队成功救治危重病人
在距离祖国千里之外的摩洛哥,中国援摩医疗队再次以专业和责任写下了生命救援的感人章节。近日,中国援摩洛哥医疗队沙温队成功救治了一名患有严重重症肺炎和智力低下的儿童,两天一夜的坚持避免了气管插管的创伤,让患者重生。
命悬一线:
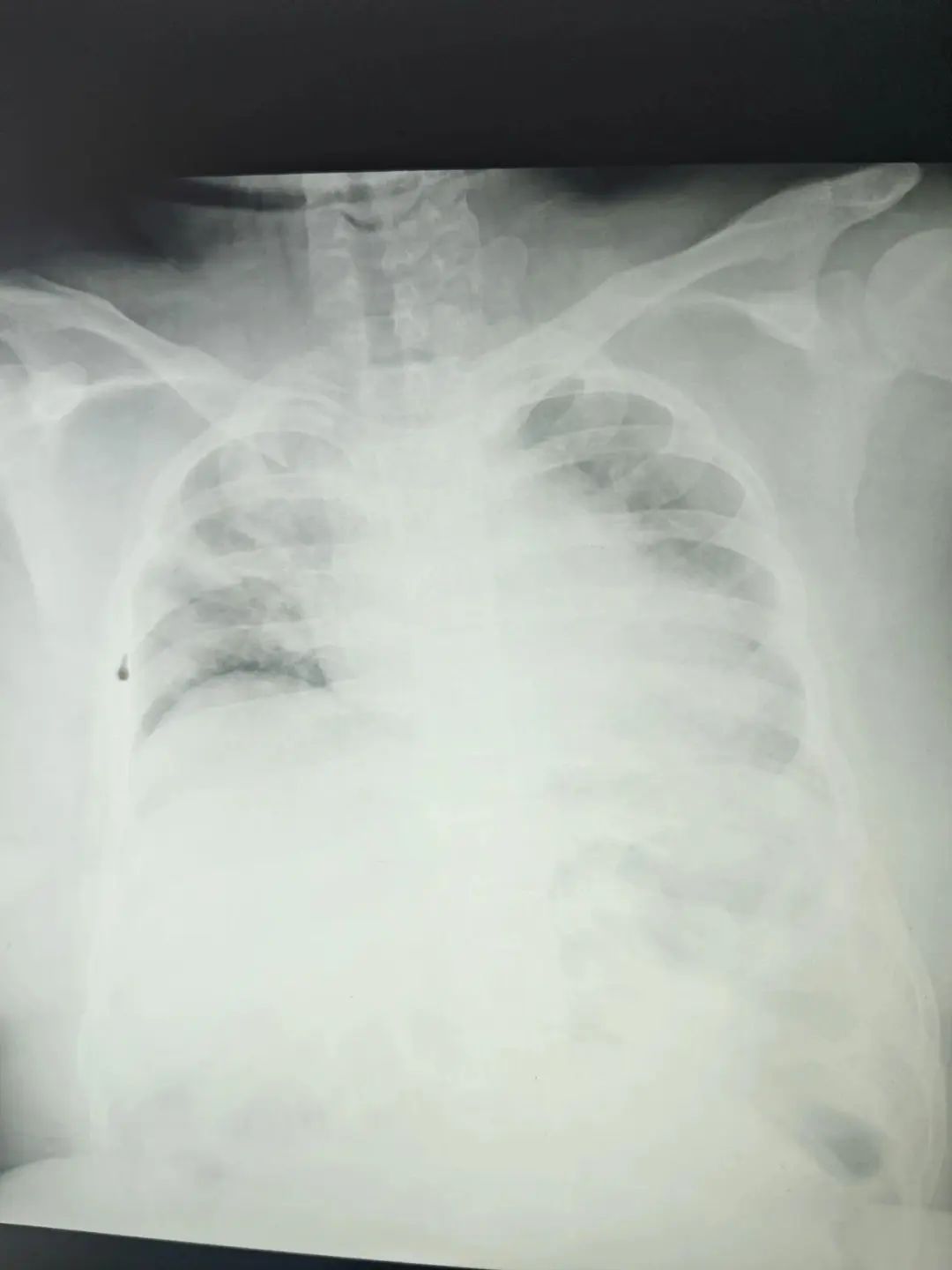
双肺白化,高烧惊厥危重病人
当患者因昏迷一天被送往医疗队所在的医院时,他们已经处于极其危险的状态:胸片显示双肺大规模“白肺”,血氧饱和度降至80%,体温飙升至39℃,并伴有反复抽搐。沙温分队成员、瑞金医院卢湾分院重症医学科主治医师汪矛斐面对智力低下无法沟通和配合治疗的特殊情况,以及当地上级医院没有床位的困境,毅然承担起治疗的重任。他说:“面对生活,我们无路可退”。
与时间赛跑:
精确治疗48小时不眠不休。
由于患者不能自主排痰,存在误吸风险,汪矛斐和护士为患者翻盘、敲背、精准吸痰一小时,动态管理抗感染计划和呼吸支持参数,并派专人值班记录生命体征变化,及时处理每一次血氧波动和抽搐。
经过两天一夜的高强度治疗,在鼻导管吸氧下,氧合指数稳定至95%以上,肺部炎症明显吸收。更令人欣慰的是,团队通过无创通风和气道管理成功避免了气管插管,大大降低了继发感染的风险。当患者第三天睁开眼睛,可以主动吞咽流质食物时,所有的坚持都是有意义的。
汪矛斐回忆说:“治疗过程中最困难的是患者无法表达不适,所有的判断都取决于医疗的仔细观察。此外,治疗惊厥的药物通常可以抑制呼吸。在治疗过程中,他们一直在管理与否之间徘徊,几乎整晚都不敢闭上眼睛。最终,没有医疗的共同努力和患者自身的恢复能力,他们无法成功治疗。”
现在病人已经转到普通病房,医疗队正在与儿科、康复科联系,制定后续康复计划。
中国是生命至上的责任
自派驻以来,中国援摩医疗队多次在资源有限的环境下完成高难度治疗,用仁慈搭建了中摩友谊的桥梁。这种治疗不仅展示了援摩医疗队扎实的应对危重症的技术,也体现了对特殊患者的人文关怀。医疗没有国界,也没有“放弃”这个词。
记者 / 邵林峰 瞿煌俊
编辑 / 孙超慧
资料 / 援摩医疗队
请注明转载来自上海黄浦官方微信
黄色/浦/进/行/时
原标题:“两天一夜,时间赛跑!中国援摩洛哥医疗队沙温分队成功救治危重病人。
阅读原文
本文仅代表作者观点,版权归原创者所有,如需转载请在文中注明来源及作者名字。
免责声明:本文系转载编辑文章,仅作分享之用。如分享内容、图片侵犯到您的版权或非授权发布,请及时与我们联系进行审核处理或删除,您可以发送材料至邮箱:service@tojoy.com




