不要忽视牙齿上的黑点!只需5步,就可以毁掉一口牙齿。
每个人都可能有牙齿上的黑点。
那么,为什么有些人没事,有些人就会烂到牙龈?
主要看 2 件事 [ 1 ] :
1. 你们嘴里有多少食物残渣,还有什么食物?
举例来说,爱吃糖或晚餐,爱喝甜饮料的人,嘴里有更多的糖渣,就成了细菌的大餐,酸性物质的产能马力全开。
2. 食物残留在牙齿表面的时间。
不爱刷牙,不常漱口的人,嘴里就像一家自助餐厅,总有细菌最喜欢的食物,想吃什么时候吃什么时候吃。
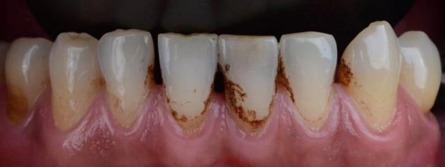
除龋齿外,牙齿上还有一种黑点的可能性——
色素沉淀
(作者提供图片)
吸烟、喝茶等习惯可引起色素沉着,刷牙不易清洁,一般可通过洗牙来清除。
关于洗牙你可能会有疑问,戳视频看答案� �
如何预防龋齿?
很简单,就看你愿不愿意做了。
1. 早上和晚上刷牙,每次不少于 3 分钟,每 3 每月更换牙刷。
饭后漱口,尤其是经常塞牙的人,要准确使用牙线或冲牙器。
小心,不要使用牙签剔牙!
2. 每 6 每月到医院做一次口腔检查,并洗牙。发现小龋洞,及早治疗。
假如发展成牙髓发炎,不但要忍受剧烈的疼痛,还要来到医院,麻烦又费钱。
3. 少喝碳酸饮料,少吃甜点心,尤其是粘性较高的糖饼等。记得吃完后漱口。
睡觉前不要吃零食。
转发到朋友圈,大家一起护牙啊! ~
审查专家:何剑亮
综合牙科主治医师,浙江大学医学院附属第二医院。
参考文献
[ 1 ] 2008年,人民卫生出版社,北京牙髓病学,樊明文,
* 腾讯医典内容团队制作
相关阅读
希望在第一时间了解更多的健康内容,记得把它腾讯医典设为星标� � 哦,我们每天都在等着遇见你!
本文仅代表作者观点,版权归原创者所有,如需转载请在文中注明来源及作者名字。
免责声明:本文系转载编辑文章,仅作分享之用。如分享内容、图片侵犯到您的版权或非授权发布,请及时与我们联系进行审核处理或删除,您可以发送材料至邮箱:service@tojoy.com




