一口气吃了30多个!她到处打滚,医生愣住了:肚子里密密麻麻的...
倩倩(化名),一名19岁的大二学生,是糖炒山楂的忠实粉丝。这种酸酸的味道很高。每年山楂一上市,她肯定会买来满足自己的渴望。
但是最近,她碰巧被这种酸甜开胃的山楂整理进了医院。
一斤以上的山楂下肚,整个胃都装满了巨大的“石头”。
大夫:多喝可乐
最近倩倩买了一斤多糖霜山楂吃,那天晚上感觉肚子疼。刚开始勉强能忍受,但第二天腹痛越来越严重,疼得她滚来滚去,最后来到杭州市第一人民医院门诊。
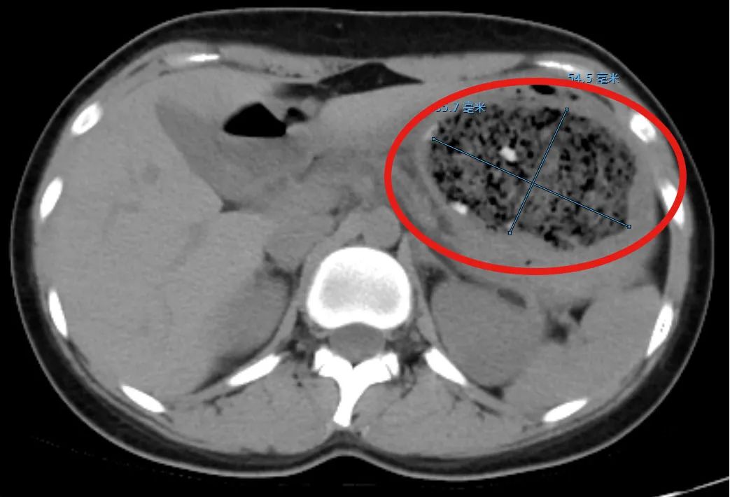
接受咨询的消化内科副主任杨晶在简单询问病史后,为倩倩安排了一次腹部CT扫描检查,发现一次8.6。cm×大约5.5厘米的巨大异物把她的胃塞得满满的!

杨晶问:“你吃了多少山楂?”
倩倩胆怯地说:“一个人吃了1斤多,有30多个…”
有经验的杨晶立即做了早期诊断——胃石。
经过进一步的胃镜检查,杨晶发现倩倩胃内的结石体积很大,几乎没有留下任何间隙,这使得常规的异物圈套器无法施展。
所以,杨晶决定先用工具把石头分成小块,但是因为石头太多,如果直接一一取出,会对喉咙造成伤害,他选择把这些小块石头留在里面,并反复告诉倩倩,这几天多喝可乐。
根据医生的建议,倩倩喝了两天可乐,果然,四天后复查,检查结果显示,她胃中的结石已经完全溶解消失。
不只是柿子!
许多食物会导致结石
倩倩百思不得其解:“只听说柿子吃多了会得柿石,怎么山楂也会引起结石?”
杨晶解释说,胃石不仅限于“柿石”。只要我们含有香蕉、山楂等“单宁酸”成分,在特定条件下也可能形成结石,就要高度警惕。
可乐为什么能消除结石?杨晶解释说,这是因为可口可乐含有大量的二氧化碳,会产生膨胀效应。磷酸、柠檬酸和碳酸氢钠也会与结石中的钙等成分发生化学反应,破坏结石的聚集,从而达到溶石的目的。

AI生成图片
但是需要注意的是,有胃石的患者,特别是有溃烂症状的患者,不要盲目饮用可乐。因为可乐可能会进一步加重溃烂,应该在专业医生的指导下进行,建议尽快去医院进行系统治疗。
注重科学饮食
不需要“谈石色变”
“今年,门诊已经收到了几例类似的病例,每年柿子和山楂上市的季节更是频繁。但是,不要太慌张,什么都不要‘放过剂量讲毒性’。胃结石的前提是大量食用。”杨医生说。

柿子。(厦门日报记者 薛尧 摄)
因为“胃石”住院虽然惊心动魄,但大部分预后都不错。“只要我们有正确的饮食观念,我们就不需要谈论石头的颜色变化,同时满足我们的幸福。”
杨医生发出以下提示,吃货请收好:
选择完美的柿子或山楂等食物。
注意摄入量,不要贪吃。
防止食用高蛋白食品。
消化不良群体应减少摄入,如老人、儿童应特别注意。
进食后要注意口腔清洁,防止鞣酸对牙齿造成伤害。
如果有不适及时就医,千万不要轻信偏方治疗。
原标题:“一口气吃30多个!她到处打滚,医生傻眼了:肚子里密密麻麻的...》
本文仅代表作者观点,版权归原创者所有,如需转载请在文中注明来源及作者名字。
免责声明:本文系转载编辑文章,仅作分享之用。如分享内容、图片侵犯到您的版权或非授权发布,请及时与我们联系进行审核处理或删除,您可以发送材料至邮箱:service@tojoy.com




