不是所有的牙齿都需要“正畸”!不要急着矫正这五种牙齿。
� �点击获取福利� �
今天的直播预告
阿尔法蛋词典笔专场
12 月 23 日 中午 12:00
戳按键� � 预约起来
海淀四大神器天天练专场。
12 月 24 日 中午 12:00
戳按钮� �预约起来
正文
寒假快到了,听说今年是历史上最长的寒假。是不是很多家长都受不了了,准备带宝宝去?整个!牙齿!!!!
事实上,近年来,许多父母都有“正畸焦虑”!
害怕牙齿不齐会影响人的外貌,甚至给两三岁的孩子戴上牙套,想想都让人心疼!
我明白父母这么着急还有另外一个原因:怕以后矫正,费用会翻倍,觉得越早越省力,省钱。
但是真的是这样吗?
孩子们要不要趁早整牙?
什么牙齿问题应该尽早矫正?哪种牙齿不需要矫正?
如何处理乳牙停留?
这是我今天大家关心的问题。 3 点击,一一回答!看完这篇文章,你再刷空储蓄卡也不迟!
近年来,每个人都很焦虑,但他们已经喂饱了许多牙科机构,甚至资本也嫉妒这块肥肉!最根本的原因是父母的钱太容易赚了。(pian)啦!
第一,一定要向大家说明一点,并非所有的牙齿问题都应该尽早矫正!
牙齿畸形,牙齿问题主要是牙齿咬合,骨骼正常。这种牙齿畸形不急着做,一般等到恒牙长出来再做也没问题。
如果需要做的话,也建议 8 岁后做,不需要做系统复杂的治疗。
短暂的错颌(牙齿不齐),可等到 12 年龄以后做,也不推荐过早戴牙套。
但是下颌前突(地包天)的孩子,一般要尽早控制,因为治疗不好。
每个人都知道婴儿 6 几个月后,乳牙如雨后春笋般涌现。
当乳牙长出来的时候,全家人的心情就像在等待花开一样。当乳牙刚出现一点头的时候,他们既开心又兴奋,孩子们会觉得很奇妙。他们总是想用舌头舔,用手摸。
科学大小的时候还爱这样做,虽然被妈妈骂了好几次:“越舔越歪!你们还在舔吗?”但是忍不住偷偷舔!
说到底,对于这个悄悄冒出头来的“小宝贝”太好奇了,总要打个“招呼”。
舔牙是天性,每个孩子都会舔牙。虽然舔牙的力量不会改变牙齿的位置,但乳牙期孩子的一些坏习惯可能会使牙齿变歪。
乳牙长出时间表,每个人都可以自己存放。
图中标注的值为平均值,代表大多数婴儿的出牙时间。但由于遗传或生长发育,每个孩子的出牙时间都会提前或推迟。
一般位置相同,下牙比上牙早一点,两侧对称位置几乎同时出,间隔不超过 6 个月。
宝宝 3-5 年龄是乳牙期。在这个阶段,如果孩子有以下坏习惯,需要随时发现并纠正,否则后期会发展成反颌等错颌畸形(不仅仅是反颌)!
①爱吐舌扮鬼脸
小孩喜欢吐舌扮鬼脸,这种动作在医学上被定义为“不良吐舌习惯”。
爱吐舌会导致门牙往外瓢嘴唇闭不上,孩子张开嘴,可以清楚地看到舌头,这种下意识的习惯,一旦形成就很难纠正。
舌摆放位置不同,对儿童口腔的影响也不同。
另外,由于吐舌习惯引起的唇齿舌等位置异常也有可能引起发音不清等问题。
所以,预防早期干预是很有必要的。
②咬唇
每个人的孩子都会经常咬嘴唇吗?有些小孩一紧张就咬嘴唇,有些则是无意识的行为。
③吃手 & 口呼吸
2 年前吃手就是探索世界,2 年老后吃手是破相。
以前科大大也写过很多吃手和口呼吸的文章,需要在后台复习朋友搜索。
乳牙期,一旦发现孩子这些坏习惯,一定要及时纠正,防止出现错颌。
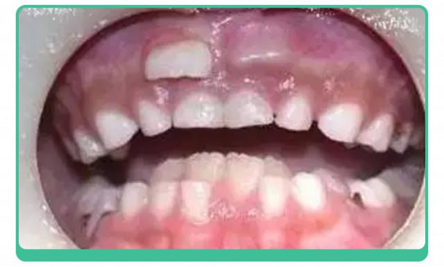
以下是每个人最关心的问题。地包天矫正时间。
地包天又称反颌。一般小孩 3 岁后,可确定反颌,也可遵医嘱取牙模型,4岁, 岁月可以干涉啦。
地包天,左右滑动查看更多图源网络
否则,随着发育,孩子会鞋拔子脸或猪腰子脸。
假如小孩已超过这个年龄,也建议在这个年龄。10 岁以前干预。
当然,孩子乳牙龋坏很严重,需要尽早去诊所判断。,以免影响恒牙的生长。但是我相信坚持(认)持(真)看科大科普的家庭应该不会有这样的问题!
那么乳牙间隙大等问题需要去医院矫正吗?下面详细介绍一下!
乳牙生长后,以及换牙期,细心的父母会不断地研究孩子的牙齿,经常关注的问题科大总结如下,首先声明,没有必要纠正这些牙齿问题。
1. 乳牙空隙大
有的父母常常会感到宝宝乳牙间隙大而烦恼,其实这是正常现象,医学上称之为:生理空隙。
下图中,这种牙齿间隙是灵长间隙,是人类、猿猴等灵长类动物的独特间隙。有了它粗心的恒牙,它就不会被挤出来。
2. 牙齿不规则,拥堵
如果牙齿不齐,父母可以等孩子 12 岁恒牙换完再干涉,否则长一颗矫正一颗麻烦还费妈!
3. 短暂的错颌畸形
像下图的这 3 种植牙问题,上述中切牙间隙、下门牙短暂轻微拥堵、门牙深覆合都是短暂的错颌畸形,不需要急于矫正,可以先观察,不需要治疗。
4. 乳牙小,恒牙大
这个也很正常,真的没必要花两次钱,真的很想矫正,能等孩子 12 岁后再进行矫正。
5. 乳白色,恒牙黄
恒牙黄是好事,不是坏事。一般来说,牙釉发育得越好,牙齿就会越黄。乳牙的牙釉没有恒牙发育得好,所以看起来会很白。
完成后不需要纠正 5 各种类型的牙齿,还有一种特殊的乳牙——停留乳牙。
现在的孩子都是精心喂养的,所以换乳牙的时候,本该脱落的乳牙没有正常脱落,而是滞留在口腔里,这就是乳牙停留。
许多孩子 6-7 换牙的时候会觉得牙齿松了,过两天也不松了,再过几天又松了。 ··· 但是总不掉,就是这么气人。
使孩子不敢吃东西,事实上,父母可以帮助孩子在乳牙特别松的时候拔出来,不敢拔的可以去医院治疗。
假设不拔出会影响恒牙的生长,一些急于看到世界的恒牙也可能另辟蹊径地生长,有人叫它,“双排牙”,也有人称之为“鲨鱼牙”!
不希望有“鲨鱼宝宝”的父母,一定要多加注意。乳牙脱落的情况及时机!
好了,关于整牙,科大大先在这里分享一下,还有哪些牙齿问题想知道,留言区见!对了,记得分享一下哦!
留言互动
# 你们的孩子有没有去整牙?这是什么情况?#
# 在换牙期间,你的宝宝有什么行为问题?#
# 什么时候是男女宝替牙期,恒牙初期? #
# 如何防止乳牙停留?#
# 为什么恒牙早期是矫正牙齿的黄金时期?#
...
请到留言区提问,分享!
今天哄睡的故事【巨人的花园】
能长按给娃听哦!
直播抢先知
根据预约人数,品牌将获得最低折扣。
预约人数越多,福利折扣越大!
预约会到时候提醒你。
在此期间不会打扰哦
有时间就来逛逛
阿尔法蛋词典笔专场
戳按键� � 预约起来
每天练习假期直播课场
戳按键� � 预约起来
包包专场
戳按键� � 预约起来
字闪闪假期练字专场
戳按键� � 预约起来
年底孤品清仓专业场
戳按键� � 预约起来
桌游专场训练逻辑思维
戳按键� � 预约起来
客户服务助理微信号
"在看" 分享
整个牙齿焦虑快走开!
本文仅代表作者观点,版权归原创者所有,如需转载请在文中注明来源及作者名字。
免责声明:本文系转载编辑文章,仅作分享之用。如分享内容、图片侵犯到您的版权或非授权发布,请及时与我们联系进行审核处理或删除,您可以发送材料至邮箱:service@tojoy.com





